• Tel: 858.663.9055
  • SeparatorEmail: info@nsjbio.com
  • Tel: 858.663.9055
  • Email: info@nsjbio.com
Home >> Antibodies >> RRP4 Antibody / EXOSC2

RRP4 Antibody / EXOSC2 (RQ6623)

  Catalog No Formulation Size Price (USD)  
Image RQ6623 0.5mg/ml if reconstituted with 0.2ml sterile DI water 100 ug 439
Bulk quote request
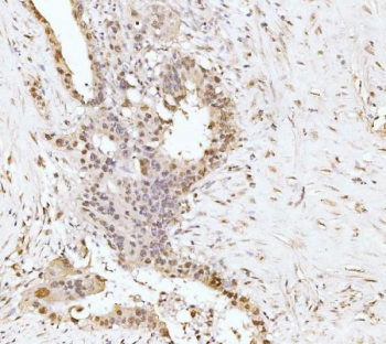
IHC staining of FFPE human appendiceal adenocarcinoma tissue with RRP4 antibody. HIER: boil tissue sections in pH8 EDTA for 20 min and allow to cool before testing.
IHC staining of FFPE human renal clear cell carcinoma tissue with RRP4 antibody. HIER: boil tissue sections in pH8 EDTA for 20 min and allow to cool before testing.
IHC staining of FFPE human colonic adenocarcinoma tissue with RRP4 antibody. HIER: boil tissue sections in pH8 EDTA for 20 min and allow to cool before testing.
IHC staining of FFPE human gastric tissue with RRP4 antibody. HIER: boil tissue sections in pH8 EDTA for 20 min and allow to cool before testing.
Western blot testing of human 1) HeLa, 2) Jurkat, 3) HEK293 and 4) HepG2 cell lysate with RRP4 antibody. Predicted molecular weight ~33 kDa.
Flow cytometry testing of human HeLa cells with RRP4 antibody at 1ug/million cells (blocked with goat sera); Red=cells alone, Green=isotype control, Blue= RRP4 antibody.
Availability 1-3 business days
Species Reactivity Human
Format Antigen affinity purified
Clonality Polyclonal (rabbit origin)
Isotype Rabbit IgG
Purity Antigen affinity purified
Buffer Lyophilized from 1X PBS with 2% Trehalose
UniProt Q13868
Localization Cytoplasmic, nuclear
Applications Western Blot : 1-2ug/ml
Immunohistochemistry (FFPE) : 2-5ug/ml
Flow Cytometry : 1-3ug/million cells
Direct ELISA : 0.1-0.5ug/ml
Limitations This RRP4 antibody is available for research use only.
Review this product on BioCompare and get a $20 Amazon gift card

Description

Exosome component 2, also known as Exosome complex component RRP4 and EXOSC2, is a protein which in humans is encoded by the EXOSC2 gene. In the nucleus, the RNA exosome complex is involved in proper maturation of stable RNA species such as rRNA, snoRNA and snRNA, in the elimination of RNA processing by-products and non-coding 'pervasive' transcripts, such as antisense RNA species and promoter-upstream transcripts (PROMPTs), and of mRNAs with processing defects, thereby limiting or excluding their export to the cytoplasm. In the cytoplasm, the RNA exosome complex is involved in general mRNA turnover and specifically degrades inherently unstable mRNAs containing AU-rich elements (AREs) within their 3' untranslated regions, and in RNA surveillance pathways, preventing translation of aberrant mRNAs. EXOSC2 is a non-catalytic component of the RNA exosome complex that has 3'->5' exoribonuclease activity and involves in a multitude of cellular RNA processing and degradation events.

Application Notes

Optimal dilution of the RRP4 antibody should be determined by the researcher.

Immunogen

Recombinant human protein (amino acids R62-G293) was used as the immunogen for the RRP4 antibody.

Storage

After reconstitution, the RRP4 antibody can be stored for up to one month at 4oC. For long-term, aliquot and store at -20oC. Avoid repeated freezing and thawing.

Cross
Bulk Quote Request Form
Name*:
Organization*:
Email*:
Phone Number*:
Catalog No.*:
Comments and Specifics(amount, formulation, etc.)*:
Validation code: Captchapackage Image


Can't read the image? click here to refresh.
    *required field

Your bulk quote request has been submitted successfully!

Please contact us if you have any questions.