• Tel: 858.663.9055
  • SeparatorEmail: info@nsjbio.com
  • Tel: 858.663.9055
  • Email: info@nsjbio.com
Home >> Antibodies >> RPL29 Antibody / 60S ribosomal protein L29

RPL29 Antibody / 60S ribosomal protein L29 (RQ6681)

  Catalog No Formulation Size Price (USD)  
Image RQ6681 0.5mg/ml if reconstituted with 0.2ml sterile DI water 100 ug 439
Bulk quote request
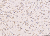
IHC staining of FFPE human breast cancer tissue with RPL29 antibody. HIER: boil tissue sections in pH8 EDTA for 20 min and allow to cool before testing.
IHC staining of FFPE human gall bladder adenosquamous carcinoma tissue with RPL29 antibody. HIER: boil tissue sections in pH8 EDTA for 20 min and allow to cool before testing.
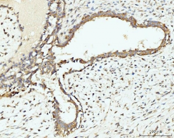
IHC staining of FFPE human appendiceal adenocarcinoma tissue with RPL29 antibody. HIER: boil tissue sections in pH8 EDTA for 20 min and allow to cool before testing.
IHC staining of FFPE mouse brain tissue with RPL29 antibody. HIER: boil tissue sections in pH8 EDTA for 20 min and allow to cool before testing.
IHC staining of FFPE rat brain tissue with RPL29 antibody. HIER: boil tissue sections in pH8 EDTA for 20 min and allow to cool before testing.
Immunofluorescent staining of FFPE human MCF7 cells with RPL29 antibody (red) and DAPI nuclear stain (blue). HIER: steam section in pH6 citrate buffer for 20 min.
Western blot testing of 1) mouse NIH 3T3, 2) monkey COS-7, 3) human HeLa, 4) human HepG2, 5) rat pancreas, 6) rat C6, 7) mouse pancreas and 8) mouse RAW264.7 cell lysate with RPL29 antibody. Predicted molecular weight ~18 kDa.
Flow cytometry testing of human HeLa cells with RPL29 antibody at 1ug/million cells (blocked with goat sera); Red=cells alone, Green=isotype control, Blue= RPL29 antibody.
Availability 1-3 business days
Species Reactivity Human, Mouse, Rat, Monkey
Format Antigen affinity purified
Clonality Polyclonal (rabbit origin)
Isotype Rabbit IgG
Purity Antigen affinity purified
Buffer Lyophilized from 1X PBS with 2% Trehalose
UniProt P47914
Localization Cytoplasmic
Applications Western Blot : 1-2ug/ml
Immunohistochemistry (FFPE) : 2-5ug/ml
Immunofluorescence (FFPE) : 5ug/ml
Flow Cytometry : 1-3ug/million cells
Direct ELISA : 0.1-0.5ug/ml
Limitations This RPL29 antibody is available for research use only.
Review this product on BioCompare and get a $20 Amazon gift card

Description

60S ribosomal protein L29 is a protein that in humans is encoded by the RPL29 gene. Ribosomes, the organelles that catalyze protein synthesis, consist of a small 40S subunit and a large 60S subunit. Together these subunits are composed of 4 RNA species and approximately 80 structurally distinct proteins. This gene encodes a cytoplasmic ribosomal protein that is a component of the 60S subunit. The protein belongs to the L29E family of ribosomal proteins. The protein is also a peripheral membrane protein expressed on the cell surface that directly binds heparin. Although this gene was previously reported to map to 3q29-qter, it is believed that it is located at 3p21.3-p21.2. As is typical for genes encoding ribosomal proteins, there are multiple processed pseudogenes of this gene dispersed through the genome.

Application Notes

Optimal dilution of the RPL29 antibody should be determined by the researcher.

Immunogen

Recombinant human protein (amino acids Q27-A153) was used as the immunogen for the RPL29 antibody.

Storage

After reconstitution, the RPL29 antibody can be stored for up to one month at 4oC. For long-term, aliquot and store at -20oC. Avoid repeated freezing and thawing.

Cross
Bulk Quote Request Form
Name*:
Organization*:
Email*:
Phone Number*:
Catalog No.*:
Comments and Specifics(amount, formulation, etc.)*:
Validation code: Captchapackage Image


Can't read the image? click here to refresh.
    *required field

Your bulk quote request has been submitted successfully!

Please contact us if you have any questions.