• Tel: 858.663.9055
  • SeparatorEmail: info@nsjbio.com
  • Tel: 858.663.9055
  • Email: info@nsjbio.com
Home >> Antibodies >> RPL10 Antibody

RPL10 Antibody (RQ6573)

  Catalog No Formulation Size Price (USD)  
Image RQ6573 0.5mg/ml if reconstituted with 0.2ml sterile DI water 100 ug 439
Bulk quote request
Immunofluorescent staining of FFPE human MCF7 cells with RPL10 antibody (red) and DAPI nuclear stain (blue). HIER: steam section in pH6 citrate buffer for 20 min.
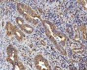
IHC staining of FFPE human gall bladder adenosquamous carcinoma tissue with RPL10 antibody. HIER: boil tissue sections in pH8 EDTA for 20 min and allow to cool before testing.
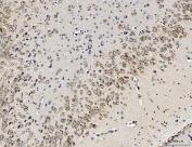
IHC staining of FFPE mouse brain tissue with RPL10 antibody. HIER: boil tissue sections in pH8 EDTA for 20 min and allow to cool before testing.
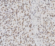
IHC staining of FFPE rat brain tissue with RPL10 antibody. HIER: boil tissue sections in pH8 EDTA for 20 min and allow to cool before testing.
Western blot testing of human HeLa cell lysate with RPL10 antibody. Predicted molecular weight ~25 kDa.
Western blot testing of 1) human HeLa, 2) human K562, 3) human HEK293, 4) rat C6 and 5) mouse NIH 3T3 cell lysate with RPL10 antibody. Predicted molecular weight ~25 kDa.
Availability 1-3 business days
Species Reactivity Human, Mouse, Rat
Format Antigen affinity purified
Clonality Polyclonal (rabbit origin)
Isotype Rabbit IgG
Purity Antigen affinity purified
Buffer Lyophilized from 1X PBS with 2% Trehalose
UniProt P27635
Localization Cytoplasmic, nuclear
Applications Western Blot : 1-2ug/ml
Immunohistochemistry (FFPE) : 2-5ug/ml
Immunofluorescence : 5ug/ml
Flow Cytometry : 1-3ug/million cells
Direct ELISA : 0.1-0.5ug/ml
Limitations This RPL10 antibody is available for research use only.
Review this product on BioCompare and get a $20 Amazon gift card

Description

60S ribosomal protein L10 is a protein that in humans is encoded by the RPL10 gene. This gene encodes a ribosomal protein that is a component of the 60S ribosome subunit. The related protein in chicken can bind to c-Jun and can repress c-Jun-mediated transcriptional activation. Some studies have detected an association between variation in this gene and autism spectrum disorders, though others do not detect this relationship. There are multiple pseudogenes of this gene dispersed throughout the genome. Alternative splicing results in multiple transcript variants.

Application Notes

Optimal dilution of the RPL10 antibody should be determined by the researcher.

Immunogen

Recombinant human protein (amino acids R3-S214) was used as the immunogen for the RPL10 antibody.

Storage

After reconstitution, the RPL10 antibody can be stored for up to one month at 4oC. For long-term, aliquot and store at -20oC. Avoid repeated freezing and thawing.

Cross
Bulk Quote Request Form
Name*:
Organization*:
Email*:
Phone Number*:
Catalog No.*:
Comments and Specifics(amount, formulation, etc.)*:
Validation code: Captchapackage Image


Can't read the image? click here to refresh.
    *required field

Your bulk quote request has been submitted successfully!

Please contact us if you have any questions.