• Tel: 858.663.9055
  • SeparatorEmail: info@nsjbio.com
  • Tel: 858.663.9055
  • Email: info@nsjbio.com
Home >> Antibodies >> RPA32 Antibody / RPA2 / Replication Protein A2

RPA32 Antibody / RPA2 / Replication Protein A2 [clone RPA2/4774] (V9569)

  Catalog No Formulation Size Price (USD)  
Image V9569-100UG 0.2 mg/ml in 1X PBS with 0.1 mg/ml BSA (US sourced), 0.05% sodium azide 100 ug 539
Image
V9569-20UG 0.2 mg/ml in 1X PBS with 0.1 mg/ml BSA (US sourced), 0.05% sodium azide 20 ug 249
Image
V9569SAF-100UG 1 mg/ml in 1X PBS; BSA free, sodium azide free 100 ug 539
Microvalidated
Bulk quote request
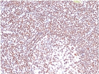
IHC staining of FFPE human tonsil tissue with RPA32 antibody (clone RPA2/4774). HIER: boil tissue sections in pH 9 10mM Tris with 1mM EDTA for 20 min and allow to cool before testing.
IHC staining of FFPE human colon tissue with RPA32 antibody (clone RPA2/4774). HIER: boil tissue sections in pH 9 10mM Tris with 1mM EDTA for 20 min and allow to cool before testing.
IHC staining of FFPE human colon tissue with RPA32 antibody (clone RPA2/4774). HIER: boil tissue sections in pH 9 10mM Tris with 1mM EDTA for 20 min and allow to cool before testing.
SDS-PAGE analysis of purified, BSA-free RPA32 antibody (clone RPA2/4774) as confirmation of integrity and purity.
Analysis of HuProt(TM) microarray containing more than 19,000 full-length human proteins using RPA32 antibody (clone RPA2/4774). These results demonstrate the foremost specificity of the RPA2/4774 mAb. Z- and S- score: The Z-score represents the strength of a signal that an antibody (in combination with a fluorescently-tagged anti-IgG secondary Ab) produces when binding to a particular protein on the HuProt(TM) array. Z-scores are described in units of standard deviations (SD's) above the mean value of all signals generated on that array. If the targets on the HuProt(TM) are arranged in descending order of the Z-score, the S-score is the difference (also in units of SD's) between the Z-scores. The S-score therefore represents the relative target specificity of an Ab to its intended target.
Availability 1-3 business days
Species Reactivity Human
Format Purified
Clonality Monoclonal (mouse origin)
Isotype Mouse IgG1, kappa
Clone Name RPA2/4774
Purity Protein A/G affinity
UniProt P15927
Localization Nuclear
Applications Western Blot : 1-2ug/ml
Immunohistochemistry (FFPE) : 1-2ug/ml
Limitations This RPA32 antibody is available for research use only.
Review this product on BioCompare and get a $20 Amazon gift card

Related Products

Description

Recognizes a protein of 34kDa, identified as a subunit of Replication Protein A (RPA) (also known as human single-stranded DNA binding protein, or HSSB). RPA from human cells is a stable heterotrimer of 70kDa, 32-34kDa, and 11-14kDa subunits (RPA70, RPA32, and RPA14 respectively). It is involved in DNA replication, repair, and recombination. RPA is required for the SV40 large tumor antigen-catalyzed unwinding of SV40 DNA and stimulates DNA polymerase (pol) alpha and delta. RPA34 is phosphorylated at the G1/S boundary of the cell cycle or upon exposure of cells to DNA damage-inducing agents including ionizing and UV radiation.

Application Notes

Optimal dilution of the RPA32 antibody should be determined by the researcher.

Immunogen

Recombinant human full-length Replication Protein A2 protein was used as the immunogen for the RPA32 antibody.

Storage

Aliquot the RPA32 antibody and store frozen at -20oC or colder. Avoid repeated freeze-thaw cycles.

Cross
Bulk Quote Request Form
Name*:
Organization*:
Email*:
Phone Number*:
Catalog No.*:
Comments and Specifics(amount, formulation, etc.)*:
Validation code: Captchapackage Image


Can't read the image? click here to refresh.
    *required field

Your bulk quote request has been submitted successfully!

Please contact us if you have any questions.