• Tel: 858.663.9055
  • SeparatorEmail: info@nsjbio.com
  • Tel: 858.663.9055
  • Email: info@nsjbio.com
Home >> Antibodies >> Ror2 Antibody

Ror2 Antibody (F52853)

  Catalog No Formulation Size Price (USD)  
Image F52853-0.4ML In 1X PBS, pH 7.4, with 0.09% sodium azide 0.4 ml 429
Image
F52853-0.08ML In 1X PBS, pH 7.4, with 0.09% sodium azide 0.08 ml 199
Bulk quote request
Western blot analysis of lysate from 1) human HeLa and 2) human SH-SY5Y cell line using Ror2 antibody at 1:1000.
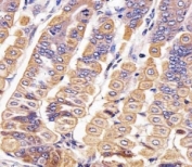
IHC analysis of FFPE mouse stomach section using Ror2 antibody; Ab was diluted at 1:25.
Availability 1-3 business days
Species Reactivity Human, Mouse
Format Antigen affinity purified
Clonality Polyclonal (rabbit origin)
Isotype Rabbit Ig
Purity Antigen affinity
UniProt Q9Z138
Applications IHC (Paraffin) : 1:25
Western Blot : 1:1000
Limitations This Ror2 antibody is available for research use only.
Review this product on BioCompare and get a $20 Amazon gift card

Related Products

Description

Tyrosine-protein kinase receptor which may be involved in the early formation of the chondrocytes. It seems to be required for cartilage and growth plate development. Phosphorylates YWHAB, leading to induction of osteogenesis and bone formation (By similarity).

Application Notes

Titration of the Ror2 antibody may be required due to differences in protocols and secondary/substrate sensitivity.

Immunogen

A portion of amino acids 750-800 from the mouse protein was used as the immunogen for this Ror2 antibody.

Storage

Aliquot the Ror2 antibody and store frozen at -20oC or colder. Avoid repeated freeze-thaw cycles.

Cross
Bulk Quote Request Form
Name*:
Organization*:
Email*:
Phone Number*:
Catalog No.*:
Comments and Specifics(amount, formulation, etc.)*:
Validation code: Captchapackage Image


Can't read the image? click here to refresh.
    *required field

Your bulk quote request has been submitted successfully!

Please contact us if you have any questions.