• Tel: 858.663.9055
  • SeparatorEmail: info@nsjbio.com
  • Tel: 858.663.9055
  • Email: info@nsjbio.com
Home >> Antibodies >> ROR2 Antibody

ROR2 Antibody (F50668)

  Catalog No Formulation Size Price (USD)  
Image F50668-0.4ML In 1X PBS, pH 7.4, with 0.09% sodium azide 0.4 ml 429
Image
F50668-0.08ML In 1X PBS, pH 7.4, with 0.09% sodium azide 0.08 ml 199
Bulk quote request
Western blot analysis of ROR2 antibody and 293 cell lysate either nontransfected (Lane 1) or transiently transfected with the ROR2 gene (2).
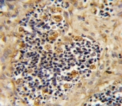
IHC analysis of FFPE human kidney carcionma stained with ROR2 antibody
Flow cytometric analysis of NCI-H292 cells using ROR2 antibody (green) compared to a negative control (blue). FITC-conjugated goat-anti-rabbit secondary Ab was used for the analysis.
Availability 1-3 business days
Species Reactivity Human
Format Purified
Clonality Polyclonal (rabbit origin)
Isotype Rabbit Ig
Purity Purified
UniProt Q01974
Applications Western Blot : 1:1000
IHC (Paraffin) : 1:10-1:50
Flow Cytometry : 1:10-1:50
Limitations This ROR2 antibody is available for research use only.
Review this product on BioCompare and get a $20 Amazon gift card

Related Products

Description

ROR2 is a tyrosine-protein kinase receptor which may be involved in the early formation of the chondrocytes. It seems to be required for cartilage and growth plate development. This Type I membrane protein is expressed at high levels during early embryonic development. The expression levels drop strongly around day 16 and there are only very low levels in adult tissues. Defects in ROR2 are a cause of brachydactyly type B1 (BDB1). BDB1 is an autosomal dominant skeletal disorder characterized by hypoplasia/aplasia of distal phalanges and nails. In BDB1 the middle phalanges are short but in addition the terminal phalanges are rudimentary or absent. Both fingers and toes are affected. The thumbs and big toes are usually deformed. Defects in ROR2 are a cause of recessive Robinow syndrome (RRS). RRS is an autosomal disorder characterized by skeletal dysplasia with generalized limb bone shortening, segmental defects of the spine, brachydactyly and a dysmorphic facial appearance. The protein contains 1 frizzled (FZ) domain, 1 immunoglobulin-like C2-type domain, and 1 kringle domain.

Application Notes

Titration of the ROR2 antibody may be required due to differences in protocols and secondary/substrate sensitivity.

Immunogen

A portion of amino acids 19-50 from the human protein was used as the immunogen for this ROR2 antibody.

Storage

Aliquot the ROR2 antibody and store frozen at -20oC or colder. Avoid repeated freeze-thaw cycles.

Cross
Bulk Quote Request Form
Name*:
Organization*:
Email*:
Phone Number*:
Catalog No.*:
Comments and Specifics(amount, formulation, etc.)*:
Validation code: Captchapackage Image


Can't read the image? click here to refresh.
    *required field

Your bulk quote request has been submitted successfully!

Please contact us if you have any questions.