• Tel: 858.663.9055
  • SeparatorEmail: info@nsjbio.com
  • Tel: 858.663.9055
  • Email: info@nsjbio.com
Home >> Antibodies >> ROR1 Antibody

ROR1 Antibody (R34116)

  Catalog No Formulation Size Price (USD)  
Image R34116-100UG 0.5 mg/ml in 1X TBS, pH7.3, with 0.5% BSA (US sourced) and 0.02% sodium azide 100 ug 449
Bulk quote request
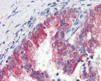
IHC testing of FFPE human prostate tissue with ROR1 antibody at 3ug/ml. Required HIER: steamed antigen retrieval with pH6 citrate buffer.
IHC testing of FFPE human prostate tissue with (left) and without (right) ROR1 antibody at 4ug/ml. Required HIER: steamed antigen retrieval with pH6 citrate buffer.
Availability 1-3 business days
Species Reactivity Human
Predicted Reactivity Mouse, Rat
Format Antigen affinity purified
Clonality Polyclonal (goat origin)
Isotype Goat Ig
Purity Antigen affinity
Gene ID 4919
Applications Immunohistochemistry (FFPE) : 3-6ug/ml
ELISA (peptide) LOD : 1:16000
Limitations This ROR1 antibody is available for research use only.
Review this product on BioCompare and get a $20 Amazon gift card

Related Products

  • Applications : WB, FACS, ELISA
    Reactivity : Human
  • Applications : WB, FACS, IHC-P
    Reactivity : Human, Mouse

Description

Additional name(s) for this target protein: Receptor tyrosine kinase-like orphan receptor 1

Application Notes

Optimal dilution of the ROR1 antibody should be determined by the researcher.

1. This ROR1 antibody is specific for isoform 1 of the protein.

Immunogen

Amino acids GNKSQKPYKIDSKQA were used as the immunogen for this ROR1 antibody.

Storage

Aliquot and store the ROR1 antibody at -20oC.

Cross
Bulk Quote Request Form
Name*:
Organization*:
Email*:
Phone Number*:
Catalog No.*:
Comments and Specifics(amount, formulation, etc.)*:
Validation code: Captchapackage Image


Can't read the image? click here to refresh.
    *required field

Your bulk quote request has been submitted successfully!

Please contact us if you have any questions.