• Tel: 858.663.9055
  • SeparatorEmail: info@nsjbio.com
  • Tel: 858.663.9055
  • Email: info@nsjbio.com
Home >> Antibodies >> ROR1 Antibody

ROR1 Antibody (F50667)

  Catalog No Formulation Size Price (USD)  
Image F50667-0.2ML In 1X PBS, pH 7.4, with 0.09% sodium azide 0.2 ml 429
Image
F50667-0.05ML In 1X PBS, pH 7.4, with 0.09% sodium azide 0.05 ml 199
Bulk quote request
Western blot testing of human samples 1) K562 and 2) lung lysate and mouse samples 3) kidney and 4) heart lysate with ROR1 antibody at 1:1000. Predicted molecular weight of ROR1 isoforms: 105 kDa and 130 kDa.
Western blot testing of human samples 1) K562 cell line, 2) MDA-MB-231, 3) PANC-1, 4) NCI-H226, 5) fetal lung and mouse samples 6) NIH3T3 and 7) heart lysate with ROR1 antibody at 1:1000. Predicted molecular weight of ROR1 isoforms: 105 kDa and 130 kDa.
Flow cytometric analysis of A549 cells using ROR1 antibody (green) compared to an isotype control of rabbit IgG (blue). Ab was diluted at 1:25 dilution. An Alexa Fluor 488 goat anti-rabbit lgG was used as the secondary Ab.
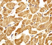
Immunohistochemical analysis of paraffin-embedded human heart section using ROR1 antibody. Ab was diluted at 1:25 dilution.
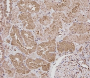
IHC testing of FFPE human lung carcinoma with ROR1 antibody.
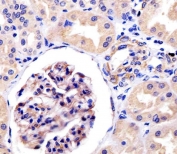
IHC testing of FFPE human kidney tissue with ROR1 antibody at 1:25 dilution. HIER: steamed antigen retrieval with pH6 citrate buffer.
IHC testing of FFPE human kidney tissue with ROR1 antibody at 1:100 dilution. HIER: steamed antigen retrieval with pH9 EDTA buffer.
IHC testing of FFPE human heart tissue with ROR1 antibody at 1:100 dilution. HIER: steamed antigen retrieval with pH9 EDTA buffer.
Western blot testing of human lysate samples 1) K562, 2) MDA-MB-231, 3) NCI-H226, 4) A549 and mouse samples 5) NIH3T3 and 6) kidney lysate with ROR1 antibody at 1:4000. Predicted molecular weight of ROR1 isoforms: 105 kDa and 130 kDa.
Availability 1-3 business days
Species Reactivity Human, Mouse
Format Antigen affinity purified
Clonality Polyclonal (rabbit origin)
Isotype Rabbit Ig
Purity Antigen affinity
UniProt Q01973
Localization Membrane, cytoplasm
Applications Western Blot : 1:1000-2000
Flow Cytometry : 1:25
Immunohistochemistry (FFPE) : 1:10-1:50
Limitations This ROR1 antibody is available for research use only.
Review this product on BioCompare and get a $20 Amazon gift card

Related Products

  • Applications : WB, FACS, ELISA
    Reactivity : Human
  • Applications : IHC, ELISA (peptide)
    Reactivity : Human
    Pred. Reactivity : Mouse, Rat

Description

ROR1 is a receptor protein tyrosine kinase whose cellular role has not been determined. It is a type I membrane protein and belongs to the ROR subfamily of cell surface receptors. Studies of a similar protein in mouse suggest that this protein may interact with another receptor protein tyrosine kinase and may be involved in skeletal and cardiac development.

Application Notes

The stated application concentrations are suggested starting amounts. Titration of the ROR1 antibody may be required due to differences in protocols and secondary/substrate sensitivity.

Immunogen

This ROR1 antibody was produced from rabbits immunized with recombinant human ROR1 protein (aa region: 112 - 399).

Storage

Store at 4oC for up to one month. For long term, aliquot the ROR1 antibody and store frozen at -20oC or colder. Avoid repeated freeze-thaw cycles.

Cross
Bulk Quote Request Form
Name*:
Organization*:
Email*:
Phone Number*:
Catalog No.*:
Comments and Specifics(amount, formulation, etc.)*:
Validation code: Captchapackage Image


Can't read the image? click here to refresh.
    *required field

Your bulk quote request has been submitted successfully!

Please contact us if you have any questions.