• Tel: 858.663.9055
  • SeparatorEmail: info@nsjbio.com
  • Tel: 858.663.9055
  • Email: info@nsjbio.com
Home >> Antibodies >> ROR gamma Antibody

ROR gamma Antibody [clone RORC/8017R] (V4738)

  Catalog No Formulation Size Price (USD)  
Image V4738-100UG 0.2 mg/ml in 1X PBS with 0.1 mg/ml BSA (US sourced), 0.05% sodium azide 100 ug 539
Image
V4738-20UG 0.2 mg/ml in 1X PBS with 0.1 mg/ml BSA (US sourced), 0.05% sodium azide 20 ug 249
Image
V4738SAF-100UG 1 mg/ml in 1X PBS; BSA free, sodium azide free 100 ug 539
Microvalidated Recrabbitmono
Bulk quote request
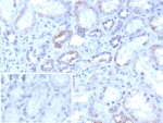
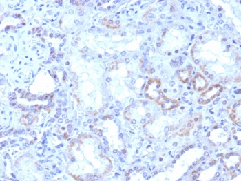
IHC staining of FFPE human kidney tissue with ROR gamma antibody (clone RORC/8017R). HIER: boil tissue sections in pH 9 10mM Tris with 1mM EDTA for 20 min and allow to cool before testing.
IHC staining of FFPE human kidney tissue with ROR gamma antibody (clone RORC/8017R). Inset: PBS used in place of primary Ab (secondary Ab negative control). HIER: boil tissue sections in pH 9 10mM Tris with 1mM EDTA for 20 min and allow to cool before testing.
Availability 1-3 business days
Species Reactivity Human
Format Purified
Clonality Recombinant Rabbit Monoclonal
Isotype Rabbit IgG, kappa
Clone Name RORC/8017R
Purity Protein A/G affinity
UniProt P51449-2
Localization Nucleus
Applications Immunohistochemistry (FFPE) : 1-2ug/ml for 30 min at RT
Limitations This ROR gamma antibody is available for research use only.
Review this product on BioCompare and get a $20 Amazon gift card

Related Products

Description

Retina-associated orphan receptors (RORs) contains three subtypes: RORAlpha, RORBeta, and RORGamma. They are widely distributed in body tissues, and most of them can directly enter the nucleus to regulate the transcription of target genes, thus showing different tissue specificity and participating in different physiological processes. In particular, RORAlpha and RORGamma play an important role in mediating Th17 cell differentiation. RORGamma can be divided into RORGamma1 and RORGamma2 (RORGamma T), which show different tissue specificity. ROR Gamma (T) is expressed only in lymphoid compartment cells, i.e., CD4+CD8+ double positive thymocytes, peripheral Th17 cells, and lymphoid tissue inducer (LTi) cells of lymphoid organs. At present, RORGamma T is considered as a new target for drug development against autoimmune diseases, especially psoriasis. In recent years, RORGamma T small molecule inhibitors have become a hot research field in academia and even international pharmaceutical companies, with great development potential.

Application Notes

Optimal dilution of the ROR gamma antibody should be determined by the researcher.

Immunogen

Recombinant full-length human ROR gamma T protein was used as the immunogen for the ROR gamma antibody.

Storage

Aliquot the ROR gamma antibody and store frozen at -20oC or colder. Avoid repeated freeze-thaw cycles.

Cross
Bulk Quote Request Form
Name*:
Organization*:
Email*:
Phone Number*:
Catalog No.*:
Comments and Specifics(amount, formulation, etc.)*:
Validation code: Captchapackage Image


Can't read the image? click here to refresh.
    *required field

Your bulk quote request has been submitted successfully!

Please contact us if you have any questions.