• Tel: 858.663.9055
  • SeparatorEmail: info@nsjbio.com
  • Tel: 858.663.9055
  • Email: info@nsjbio.com
Home >> Antibodies >> RNF25 Antibody / Ring finger protein 25

RNF25 Antibody / Ring finger protein 25 (FY12996)

  Catalog No Formulation Size Price (USD)  
Image FY12996 Adding 0.2 ml of distilled water will yield a concentration of 500 ug/ml 100 ug 439
Bulk quote request
Immunofluorescent staining of FFPE human lung cancer tissue with RNF25 antibody (red) and DAPI nuclear stain (blue). HIER: steam section in pH8 EDTA buffer for 20 min.
Western blot analysis of RNF25 using anti-RNF25 antibody. Lane 1: human Hela whole cell lysates, Lane 2: human U251 whole cell lysates, Lane 3: human 293T whole cell lysates, Lane 4: human Jurkat whole cell lysates, Lane 5: rat testis tissue lysates, Lane 6: rat brain tissue lysates, Lane 7: mouse testis tissue lysates, Lane 8: mouse brain tissue lysates. After electrophoresis, proteins were transferred to a nitrocellulose membrane at 150 mA for 50-90 minutes. Blocked the membrane with 5% non-fat milk/TBS for 1.5 hour at RT. The membrane was incubated with rabbit anti-RNF25 antibody at 0.5 ug/ml overnight at 4oC, then washed with TBS-0.1%Tween 3 times with 5 minutes each and probed with a goat anti-rabbit IgG-HRP secondary antibody at a dilution of 1:5000 for 1.5 hour at RT. The signal was developed using enhanced chemiluminescent. Although the predicted MW is ~51 kDa, RNF25 migrates at ~60-65 kDa, consistent with post-translational modification (e.g., phosphorylation/SUMOylation) and known anomalous mobility of RING E3 ligases.
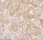
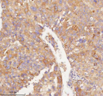
Immunohistochemical staining of RNF25 using anti-RNF25 antibody. RNF25 was detected in a paraffin-embedded section of human liver cancer tissue. Heat mediated antigen retrieval was performed in EDTA buffer (pH 8.0, epitope retrieval solution). The tissue section was blocked with 10% goat serum. The tissue section was then incubated with 2 ug/ml rabbit anti-RNF25 antibody overnight at 4oC. Peroxidase Conjugated Goat Anti-rabbit IgG was used as secondary antibody and incubated for 30 minutes at 37oC. The tissue section was developed using an HRP secondary and DAB substrate.
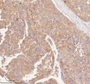
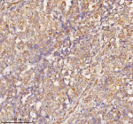
Immunohistochemical staining of RNF25 using anti-RNF25 antibody. RNF25 was detected in a paraffin-embedded section of human lung adenocarcinoma tissue. Heat mediated antigen retrieval was performed in EDTA buffer (pH 8.0, epitope retrieval solution). The tissue section was blocked with 10% goat serum. The tissue section was then incubated with 2 ug/ml rabbit anti-RNF25 antibody overnight at 4oC. Peroxidase Conjugated Goat Anti-rabbit IgG was used as secondary antibody and incubated for 30 minutes at 37oC. The tissue section was developed using an HRP secondary and DAB substrate.
Immunohistochemical staining of RNF25 using anti-RNF25 antibody. RNF25 was detected in a paraffin-embedded section of human lung adenocarcinoma tissue. Heat mediated antigen retrieval was performed in EDTA buffer (pH 8.0, epitope retrieval solution). The tissue section was blocked with 10% goat serum. The tissue section was then incubated with 2 ug/ml rabbit anti-RNF25 antibody overnight at 4oC. Peroxidase Conjugated Goat Anti-rabbit IgG was used as secondary antibody and incubated for 30 minutes at 37oC. The tissue section was developed using an HRP secondary and DAB substrate.
Immunohistochemical staining of RNF25 using anti-RNF25 antibody. RNF25 was detected in a paraffin-embedded section of human ovarian cancer tissue. Heat mediated antigen retrieval was performed in EDTA buffer (pH 8.0, epitope retrieval solution). The tissue section was blocked with 10% goat serum. The tissue section was then incubated with 2 ug/ml rabbit anti-RNF25 antibody overnight at 4oC. Peroxidase Conjugated Goat Anti-rabbit IgG was used as secondary antibody and incubated for 30 minutes at 37oC. The tissue section was developed using an HRP secondary and DAB substrate.
Immunohistochemical staining of RNF25 using anti-RNF25 antibody. RNF25 was detected in a paraffin-embedded section of human ovarian cancer tissue. Heat mediated antigen retrieval was performed in EDTA buffer (pH 8.0, epitope retrieval solution). The tissue section was blocked with 10% goat serum. The tissue section was then incubated with 2 ug/ml rabbit anti-RNF25 antibody overnight at 4oC. Peroxidase Conjugated Goat Anti-rabbit IgG was used as secondary antibody and incubated for 30 minutes at 37oC. The tissue section was developed using an HRP secondary and DAB substrate.
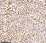
Immunohistochemical staining of RNF25 using anti-RNF25 antibody. RNF25 was detected in a paraffin-embedded section of human urothelial carcinoma tissue. Heat mediated antigen retrieval was performed in EDTA buffer (pH 8.0, epitope retrieval solution). The tissue section was blocked with 10% goat serum. The tissue section was then incubated with 2 ug/ml rabbit anti-RNF25 antibody overnight at 4oC. Peroxidase Conjugated Goat Anti-rabbit IgG was used as secondary antibody and incubated for 30 minutes at 37oC. The tissue section was developed using an HRP secondary and DAB substrate.
Immunohistochemical staining of RNF25 using anti-RNF25 antibody. RNF25 was detected in a paraffin-embedded section of human urothelial carcinoma tissue. Heat mediated antigen retrieval was performed in EDTA buffer (pH 8.0, epitope retrieval solution). The tissue section was blocked with 10% goat serum. The tissue section was then incubated with 2 ug/ml rabbit anti-RNF25 antibody overnight at 4oC. Peroxidase Conjugated Goat Anti-rabbit IgG was used as secondary antibody and incubated for 30 minutes at 37oC. The tissue section was developed using an HRP secondary and DAB substrate.
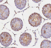
Immunohistochemical staining of RNF25 using anti-RNF25 antibody. RNF25 was detected in a paraffin-embedded section of rat testis tissue. Heat mediated antigen retrieval was performed in EDTA buffer (pH 8.0, epitope retrieval solution). The tissue section was blocked with 10% goat serum. The tissue section was then incubated with 2 ug/ml rabbit anti-RNF25 antibody overnight at 4oC. Peroxidase Conjugated Goat Anti-rabbit IgG was used as secondary antibody and incubated for 30 minutes at 37oC. The tissue section was developed using an HRP secondary and DAB substrate.
Immunohistochemical staining of RNF25 using anti-RNF25 antibody. RNF25 was detected in a paraffin-embedded section of rat testis tissue. Heat mediated antigen retrieval was performed in EDTA buffer (pH 8.0, epitope retrieval solution). The tissue section was blocked with 10% goat serum. The tissue section was then incubated with 2 ug/ml rabbit anti-RNF25 antibody overnight at 4oC. Peroxidase Conjugated Goat Anti-rabbit IgG was used as secondary antibody and incubated for 30 minutes at 37oC. The tissue section was developed using an HRP secondary and DAB substrate.
Immunohistochemical staining of RNF25 using anti-RNF25 antibody. RNF25 was detected in a paraffin-embedded section of human liver cancer tissue. Heat mediated antigen retrieval was performed in EDTA buffer (pH 8.0, epitope retrieval solution). The tissue section was blocked with 10% goat serum. The tissue section was then incubated with 2 ug/ml rabbit anti-RNF25 antibody overnight at 4oC. Peroxidase Conjugated Goat Anti-rabbit IgG was used as secondary antibody and incubated for 30 minutes at 37oC. The tissue section was developed using an HRP secondary and DAB substrate.
Flow cytometry analysis of fixed and permeabilized human 293T cells with RNF25 antibody at 1ug/million cells (blocked with goat sera); Red=cells alone, Green=isotype control, Blue= RNF25 antibody.
Availability 1-2 days
Species Reactivity Human, Mouse, Rat
Format Lyophilized
Clonality Polyclonal (rabbit origin)
Isotype Rabbit IgG
Purity Immunogen affinity purified
Buffer Each vial contains 4 mg Trehalose, 0.9 mg NaCl, 0.2 mg Na2HPO4.
UniProt Q96BH1
Localization Cytoplasm
Applications ELISA : 0.1-0.5ug/ml
Flow Cytometry : 1-3ug/million cells
Immunofluorescence : 5ug/ml
Immunohistochemistry : 2-5ug/ml
Western Blot : 0.25-0.5ug/ml
Limitations This RNF25 antibody is available for research use only.
Review this product on BioCompare and get a $20 Amazon gift card

Description

RNF25 antibody detects Ring finger protein 25, an E3 ubiquitin ligase that participates in protein degradation, signaling regulation, and transcriptional control. The UniProt recommended name is Ring finger protein 25 (RNF25). This protein belongs to the RING-type E3 ligase family, which mediates the transfer of ubiquitin from E2 conjugating enzymes to substrate proteins, marking them for proteasomal degradation or signaling modification.

Functionally, RNF25 antibody identifies a 459-amino-acid cytoplasmic and nuclear protein containing a C3H2C3-type RING finger domain essential for ubiquitin ligase activity. RNF25 acts as a regulatory adapter that promotes the assembly of ubiquitin ligase complexes and modulates the stability of key signaling molecules. It interacts with components of the NF-kappaB signaling pathway, such as TRAF2 and RelA/p65, thereby influencing inflammatory gene expression and apoptosis.

The RNF25 gene is located on chromosome 15q22.31 and encodes a protein expressed in multiple tissues, including brain, liver, and immune cells. It functions in the ubiquitin-proteasome system to regulate protein turnover and signaling dynamics. RNF25 has been shown to enhance NF-kappaB transcriptional activity by stabilizing the p65 subunit, amplifying responses to cytokines and stress stimuli. It may also participate in synaptic signaling and neuronal plasticity through regulation of protein degradation in neurons.

Beyond its role in NF-kappaB signaling, RNF25 influences other cellular processes such as apoptosis, transcriptional repression, and immune modulation. It interacts with Smurf1 and other E3 ligases to fine-tune ubiquitin-dependent degradation networks. Dysregulation of RNF25 expression or activity has been linked to cancer progression, chronic inflammation, and neurodegenerative disease. Overexpression of RNF25 promotes survival pathways, while loss of function increases sensitivity to apoptotic stimuli.

RNF25 antibody is widely used in research focused on protein degradation, signal transduction, and transcriptional regulation. It is suitable for western blotting, immunoprecipitation, and immunofluorescence to detect RNF25 expression and localization. This antibody supports studies exploring the ubiquitin-proteasome system, NF-kappaB activation, and E3 ligase interactions. In disease models, RNF25 serves as a biomarker of altered ubiquitin signaling and inflammatory response.

Structurally, RNF25 features a RING-type zinc-binding domain, a coiled-coil region for protein interactions, and nuclear localization motifs that enable shuttling between cytoplasm and nucleus. Post-translational regulation includes phosphorylation and auto-ubiquitination that modulate its ligase activity. NSJ Bioreagents provides RNF25 antibody reagents validated for use in ubiquitin signaling, transcriptional regulation, and immune pathway research.

Application Notes

Optimal dilution of the RNF25 antibody should be determined by the researcher.

Immunogen

E.coli-derived human RNF25 recombinant protein (Position: E44-R344) was used as the immunogen for the RNF25 antibody.

Storage

After reconstitution, the RNF25 antibody can be stored for up to one month at 4oC. For long-term, aliquot and store at -20oC. Avoid repeated freezing and thawing.

Cross
Bulk Quote Request Form
Name*:
Organization*:
Email*:
Phone Number*:
Catalog No.*:
Comments and Specifics(amount, formulation, etc.)*:
Validation code: Captchapackage Image


Can't read the image? click here to refresh.
    *required field

Your bulk quote request has been submitted successfully!

Please contact us if you have any questions.