• Tel: 858.663.9055
  • SeparatorEmail: info@nsjbio.com
  • Tel: 858.663.9055
  • Email: info@nsjbio.com
Home >> Antibodies >> RNA-binding motif protein 3 Antibody / RBM3

RNA-binding motif protein 3 Antibody / RBM3 [clone 29R08] (RQ8791)

  Catalog No Formulation Size Price (USD)  
Image RQ8791 Antibody in PBS with 0.02% sodium azide, 50% glycerol and 0.4-0.5mg/ml BSA 100 ul 439
Microvalidated Recrabbitmono
Bulk quote request
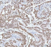
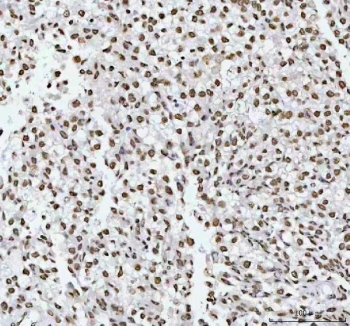
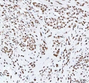
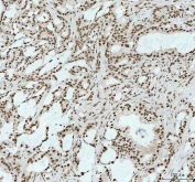
IHC staining of FFPE human testicular germ cell tumor tissue with RNA-binding motif protein 3 antibody. HIER: boil tissue sections in pH8 EDTA for 20 min and allow to cool before testing.
IHC staining of FFPE human prostate cancer tissue with RNA-binding motif protein 3 antibody. HIER: boil tissue sections in pH8 EDTA for 20 min and allow to cool before testing.
IHC staining of FFPE human lung adenocarcinoma tissue with RNA-binding motif protein 3 antibody. HIER: boil tissue sections in pH8 EDTA for 20 min and allow to cool before testing.
IHC staining of FFPE human liver cancer tissue with RNA-binding motif protein 3 antibody. HIER: boil tissue sections in pH8 EDTA for 20 min and allow to cool before testing.
IHC staining of FFPE human colorectal adenocarcinoma tissue with RNA-binding motif protein 3 antibody. HIER: boil tissue sections in pH8 EDTA for 20 min and allow to cool before testing.
Immunofluorescent staining of FFPE human A549 cells with RNA-binding motif protein 3 antibody (green) and Beta Tubulin mAb (red). HIER: steam section in pH6 citrate buffer for 20 min.
Western blot testing of human 1) Jurkat, 2) HeLa, 3) ThP-1 and 4) RT4 cell lysate with RNA-binding motif protein 3 antibody. Predicted molecular weight ~17 kDa.
Availability 1-3 days
Species Reactivity Human
Format Purified
Clonality Recombinant Rabbit Monoclonal
Isotype Rabbit IgG
Clone Name 29R08
Purity Affinity chromatography
UniProt P98179
Localization Nuclear, cytoplasmic
Applications Western Blot : 1:500-1:2000
Immunohistochemistry (FFPE) : 1:50-1:200
Immunofluorescence : 1:50-1:200
Limitations This RNA-binding motif protein 3 antibody is available for research use only.
Review this product on BioCompare and get a $20 Amazon gift card

Related Products

Description

RNA-binding motif protein 3 is a cold-inducible mRNA binding protein that enhances global protein synthesis at both physiological and mild hypothermic temperatures. [UniProt]

Application Notes

Optimal dilution of the RNA-binding motif protein 3 antibody should be determined by the researcher.

Immunogen

A synthetic peptide specific to human RNA-binding motif protein 3 protein was used as the immunogen for the RNA-binding motif protein 3 antibody.

Storage

Store the RNA-binding motif protein 3 antibody at -20oC.

Cross
Bulk Quote Request Form
Name*:
Organization*:
Email*:
Phone Number*:
Catalog No.*:
Comments and Specifics(amount, formulation, etc.)*:
Validation code: Captchapackage Image


Can't read the image? click here to refresh.
    *required field

Your bulk quote request has been submitted successfully!

Please contact us if you have any questions.