• Tel: 858.663.9055
  • SeparatorEmail: info@nsjbio.com
  • Tel: 858.663.9055
  • Email: info@nsjbio.com
Home >> Antibodies >> RMI2 Antibody / RecQ-mediated genome instability protein 2

RMI2 Antibody / RecQ-mediated genome instability protein 2 (RQ4946)

  Catalog No Formulation Size Price (USD)  
Image RQ4946 0.5mg/ml if reconstituted with 0.2ml sterile DI water 100 ug 439
Bulk quote request
Western blot testing of human 1) HeLa, 2) T-47D, 3) HepG2, 4) K562, 5) mouse liver and 6) mouse HEPA1-6 lysate with RMI2 antibody at 0.5ug/ml. Expected molecular weight ~18 kDa.
IHC staining of FFPE human breast cancer with RMI2 antibody at 1ug/ml. HIER: boil tissue sections in pH6, 10mM citrate buffer, for 10-20 min and allow to cool before testing.
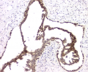
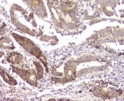
IHC staining of FFPE human intestinal cancer with RMI2 antibody at 1ug/ml. HIER: boil tissue sections in pH6, 10mM citrate buffer, for 10-20 min and allow to cool before testing.
IHC staining of FFPE human intestinal cancer with RMI2 antibody at 1ug/ml. HIER: boil tissue sections in pH6, 10mM citrate buffer, for 10-20 min and allow to cool before testing.
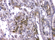
IHC staining of FFPE rat liver with RMI2 antibody at 1ug/ml. HIER: boil tissue sections in pH6, 10mM citrate buffer, for 10-20 min and allow to cool before testing.
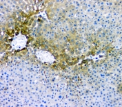
IHC staining of FFPE mouse liver with RMI2 antibody at 1ug/ml. HIER: boil tissue sections in pH6, 10mM citrate buffer, for 10-20 min and allow to cool before testing.
Flow cytometry testing of human U-2 OS cells with RMI2 antibody at 1ug/10^6 cells (blocked with goat sera); Red=cells alone, Green=isotype control, Blue= RMI2 antibody.
Availability 1-3 business days
Species Reactivity Human, Mouse, Rat
Format Antigen affinity purified
Clonality Polyclonal (rabbit origin)
Isotype Rabbit IgG
Purity Antigen affinity purified
Buffer Lyophilized from 1X PBS with 2% Trehalose and 0.025% sodium azide
UniProt Q96E14
Localization Nuclear, possibly cytoplasmic
Applications Western Blot : 0.5-1ug/ml
Immunohistochemistry (FFPE) : 1-2ug/ml
Flow Cytometry : 1-3ug/10^6 cells
Limitations This RMI2 antibody is available for research use only.
Review this product on BioCompare and get a $20 Amazon gift card

Related Products

Description

RMI2 is a component of the BLM (RECQL3) complex, which plays a role in homologous recombination-dependent DNA repair and is essential for genome stability. This gene is mapped to 16p13.13. RMI1 and RMI2 were present in approximately stoichiometric amounts with other BLM complex components, including topoisomerase-3-alpha (TOP3A), RPA (RPA1), and BLAP250. RMI2 also associated with RMI1 and TOP3A in a second complex. RMI1 and RMI2 interacted directly, and both were essential for stability of the BLM complex. Depletion of either RMI1 or RMI2 depleted the other protein by 80 to 90%. Chicken DT40 cells depleted of Rmi2 displayed elevated sister chromatid exchange, but other functions of the BLM complex appeared intact. Mutation analysis revealed that interaction between human RMI2 and BLM was essential for suppression of sister chromatid exchange.

Application Notes

Optimal dilution of the RMI2 antibody should be determined by the researcher.

Immunogen

Amino acids KMTDLSDNPIHESMWELEVEDLHRNIP from the human protein were used as the immunogen for the RMI2 antibody.

Storage

After reconstitution, the RMI2 antibody can be stored for up to one month at 4oC. For long-term, aliquot and store at -20oC. Avoid repeated freezing and thawing.

Cross
Bulk Quote Request Form
Name*:
Organization*:
Email*:
Phone Number*:
Catalog No.*:
Comments and Specifics(amount, formulation, etc.)*:
Validation code: Captchapackage Image


Can't read the image? click here to refresh.
    *required field

Your bulk quote request has been submitted successfully!

Please contact us if you have any questions.