• Tel: 858.663.9055
  • SeparatorEmail: info@nsjbio.com
  • Tel: 858.663.9055
  • Email: info@nsjbio.com
Home >> Antibodies >> RLIP1 Antibody / RALBP1

RLIP1 Antibody / RALBP1 [clone 2F9D3] (RQ6754)

  Catalog No Formulation Size Price (USD)  
Image RQ6754 0.5mg/ml if reconstituted with 0.2ml sterile DI water 100 ug 439
Bulk quote request
Immunofluorescent staining of FFPE human U-2 OS cells with RLIP1 antibody (green) and DAPI nuclear stain (blue). HIER: steam section in pH6 citrate buffer for 20 min.
IHC staining of FFPE human ovarian cancer tissue with RLIP1 antibody. HIER: boil tissue sections in pH8 EDTA for 20 min and allow to cool before testing.
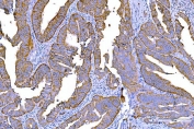
IHC staining of FFPE human rectum adenocarcinoma tissue with RLIP1 antibody. HIER: boil tissue sections in pH8 EDTA for 20 min and allow to cool before testing.
IHC staining of FFPE metaplasia of squamous cells of the renal pelvis tissue with RLIP1 antibody. HIER: boil tissue sections in pH8 EDTA for 20 min and allow to cool before testing.
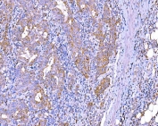
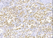
IHC staining of FFPE human lung cancer tissue with RLIP1 antibody. HIER: boil tissue sections in pH8 EDTA for 20 min and allow to cool before testing.
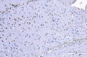
IHC staining of FFPE mouse brain tissue with RLIP1 antibody. HIER: boil tissue sections in pH8 EDTA for 20 min and allow to cool before testing.
Western blot testing of 1) human HL60, 2) human Daudi, 3) human SW620, 4) rat brain, 5) mouse lung and 6) mouse brain tissue lysate with RLIP1 antibody. Predicted molecular weight ~76 kDa, observed molecular weight: 90-95 kDa.
Flow cytometry testing of human SiHa cells with RLIP1 antibody at 1ug/million cells (blocked with goat sera); Red=cells alone, Green=isotype control, Blue= RLIP1 antibody.
Availability 1-3 business days
Species Reactivity Human, Mouse, Rat
Format Purified
Clonality Monoclonal (mouse origin)
Isotype Mouse IgG2b
Clone Name 2F9D3
Purity Antigen affinity purified
Buffer Lyophilized from 1X PBS with 2% Trehalose
UniProt Q15311
Localization Cytoplasmic, nuclear, cell membrane
Applications Western Blot : 1-2ug/ml
Immunohistochemistry (FFPE) : 2-5ug/ml
Immunofluorescence (FFPE) : 5ug/ml
Flow Cytometry : 1-3ug/million cells
Limitations This RLIP1 antibody is available for research use only.
Review this product on BioCompare and get a $20 Amazon gift card

Related Products

Description

RalA-binding protein 1, also called Ral-interacting protein 1, is a protein that in humans is encoded by the RALBP1 gene. Small G proteins, such as RAL, have GDP-bound inactive and GTP-bound active forms, which shift from the inactive to the active state through the action of RALGDS, which in turn is activated by RAS. RALBP1 plays a role in receptor-mediated endocytosis and is a downstream effector of the small GTP-binding protein RAL. RALBP1 is also the dominant transporter of lipid peroxidation-derived glutathione conjugates and participates in several mitotic events, including inactivation of endocytosis and separation and polar movement of centrioles and appropriate distribution of mitochondria to daughter cells following mitosis.

Application Notes

Optimal dilution of the RLIP1 antibody should be determined by the researcher.

Immunogen

Recombinant human protein (amino acids K239-Q506) was used as the immunogen for the RLIP1 antibody.

Storage

After reconstitution, the RLIP1 antibody can be stored for up to one month at 4oC. For long-term, aliquot and store at -20oC. Avoid repeated freezing and thawing.

Cross
Bulk Quote Request Form
Name*:
Organization*:
Email*:
Phone Number*:
Catalog No.*:
Comments and Specifics(amount, formulation, etc.)*:
Validation code: Captchapackage Image


Can't read the image? click here to refresh.
    *required field

Your bulk quote request has been submitted successfully!

Please contact us if you have any questions.