• Tel: 858.663.9055
  • SeparatorEmail: info@nsjbio.com
  • Tel: 858.663.9055
  • Email: info@nsjbio.com
Home >> Antibodies >> RICTOR Antibody

RICTOR Antibody (F50243)

  Catalog No Formulation Size Price (USD)  
Image F50243-0.4ML In 1X PBS, pH 7.4, with 0.09% sodium azide 0.4 ml 429
Image
F50243-0.08ML In 1X PBS, pH 7.4, with 0.09% sodium azide 0.08 ml 199
Bulk quote request
RICTOR antibody western blot analysis in mouse bladder tissue lysate. Predicted molecular weight ~200 kDa
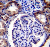
RICTOR antibody immunohistochemistry analysis in formalin fixed and paraffin embedded human kidney tissue.
Availability 1-3 business days
Species Reactivity Human, Mouse
Format Purified
Clonality Polyclonal (rabbit origin)
Isotype Rabbit Ig
Purity Purified
UniProt Q6R327
Applications Western Blot : 1:1000
IHC (Paraffin) : 1:10-1:50
Limitations This RICTOR antibody is available for research use only.
Review this product on BioCompare and get a $20 Amazon gift card

Related Products

  • Applications : IHC
    Reactivity : Human
    Pred. Reactivity : Mouse
  • Applications : WB, ELISA
    Reactivity : Human, Mouse
  • Applications : WB, IHC, ELISA
    Reactivity : Human
    Pred. Reactivity : Mouse
  • Applications : WB, ELISA
    Reactivity : Human
  • Applications : IHC, ELISA (peptide)
    Reactivity : Human
    Pred. Reactivity : Dog, Mouse
  • Applications : WB, IHC-P, IF, FACS, Direct ELISA
    Reactivity : Human

Description

RICTOR and MTOR (FRAP1) are components of a protein complex that integrates nutrient- and growth factor-derived signals to regulate cell growth.

Application Notes

Titration of the RICTOR antibody may be required due to differences in protocols and secondary/substrate sensitivity.

Immunogen

A portion of amino acids 1617-1650 from the human protein was used as the immunogen for this RICTOR antibody.

Storage

Aliquot the RICTOR antibody and store frozen at -20oC or colder. Avoid repeated freeze-thaw cycles.

Cross
Bulk Quote Request Form
Name*:
Organization*:
Email*:
Phone Number*:
Catalog No.*:
Comments and Specifics(amount, formulation, etc.)*:
Validation code: Captchapackage Image


Can't read the image? click here to refresh.
    *required field

Your bulk quote request has been submitted successfully!

Please contact us if you have any questions.