• Tel: 858.663.9055
  • SeparatorEmail: info@nsjbio.com
  • Tel: 858.663.9055
  • Email: info@nsjbio.com
Home >> Antibodies >> Ribonuclease H2 subunit B Antibody / RNASEH2B

Ribonuclease H2 subunit B Antibody / RNASEH2B [clone RM433] (R20448)

  Catalog No Formulation Size Price (USD)  
Image R20448-0.1ML Antibody in PBS with 50% glycerol, 1% BSA and 0.09% sodium azide 100 ul 429
Microvalidated Recrabbitmono
Bulk quote request
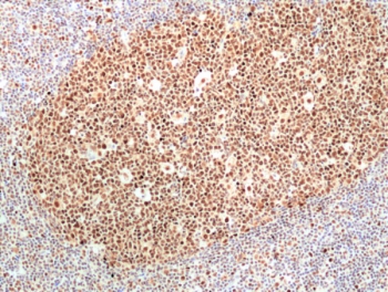
IHC staining of FFPE human tonsil tissue with recombinant Ribonuclease H2 subunit B antibody at 1:100.
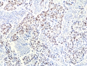
IHC staining of FFPE human lung cancer tissue with recombinant Ribonuclease H2 subunit B antibody at 1:100.
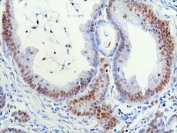
IHC staining of FFPE human colon cancer tissue with recombinant Ribonuclease H2 subunit B antibody at 1:100.
Western blot testing of human Jurkat cell lysate with recombinant Ribonuclease H2 subunit B antibody at 1:1000 dilution. Predicted molecular weight ~35 kDa.
Western blot testing of lysate from human Hela cells treated with RNAseH2B siRNA/RNAiMaxx for 72 hours. Courtesy of Dr. Antje Neeb, The Institute of Cancer Research, London, UK
Availability 1-3 business days
Species Reactivity Human
Format Purified
Clonality Recombinant Rabbit Monoclonal
Isotype Rabbit IgG
Clone Name RM433
Purity Protein A purified from animal origin-free supernatant
UniProt Q5TBB1
Localization Nuclear
Applications Immunohistochemistry (FFPE) : 1:50-1:100
Western Blot : 1:1000-1:2000
Limitations This recombinant Ribonuclease H2 subunit B antibody is available for research use only.
Review this product on BioCompare and get a $20 Amazon gift card

Related Products

Description

This antibody reacts to human RNASEH2B/Ribonuclease H2 subunit B protein.

Application Notes

The stated application concentrations are suggested starting points. Titration of the recombinant Ribonuclease H2 subunit B antibody may be required due to differences in protocols and secondary/substrate sensitivity.

Immunogen

A peptide corresponding to the C-terminus of RNASEH2B was used as the immunogen for the recombinant Ribonuclease H2 subunit B antibody.

Storage

Store the recombinant Ribonuclease H2 subunit B antibody at -20oC.

Cross
Bulk Quote Request Form
Name*:
Organization*:
Email*:
Phone Number*:
Catalog No.*:
Comments and Specifics(amount, formulation, etc.)*:
Validation code: Captchapackage Image


Can't read the image? click here to refresh.
    *required field

Your bulk quote request has been submitted successfully!

Please contact us if you have any questions.