• Tel: 858.663.9055
  • SeparatorEmail: info@nsjbio.com
  • Tel: 858.663.9055
  • Email: info@nsjbio.com
Home >> Antibodies >> RHOT2 Antibody / Rho GTPase 2 / MIRO2

RHOT2 Antibody / Rho GTPase 2 / MIRO2 (FY12358)

  Catalog No Formulation Size Price (USD)  
Image FY12358 Adding 0.2 ml of distilled water will yield a concentration of 500 ug/ml 100 ug 439
Bulk quote request
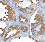
Immunohistochemical staining of RHOT2 using anti-RHOT2 antibody. RHOT2 was detected in a paraffin-embedded section of human prostate cancer tissue. Heat mediated antigen retrieval was performed in EDTA buffer (pH 8.0, epitope retrieval solution). The tissue section was blocked with 10% goat serum. The tissue section was then incubated with 2 ug/ml rabbit anti-RHOT2 antibody overnight at 4oC. Peroxidase Conjugated Goat Anti-rabbit IgG was used as secondary antibody and incubated for 30 minutes at 37oC. The tissue section was developed using an HRP secondary and DAB substrate.
Western blot analysis of RHOT2 using anti-RHOT2 antibody. Electrophoresis was performed on a 10% SDS-PAGE gel at 80V (Stacking gel) / 120V (Resolving gel) for 2 hours. Lane 1: human 293T whole cell lysates, Lane 2: human MCF-7 whole cell lysates, Lane 3: human SH-SY5Y whole cell lysates, Lane 4: human K562 whole cell lysates. After electrophoresis, proteins were transferred to a nitrocellulose membrane at 150 mA for 50-90 minutes. Blocked the membrane with 5% non-fat milk/TBS for 1.5 hour at RT. The membrane was incubated with rabbit anti-RHOT2 antibody at 0.5 ug/ml overnight at 4oC, then washed with TBS-0.1%Tween 3 times with 5 minutes each and probed with a goat anti-rabbit IgG-HRP secondary antibody at a dilution of 1:5000 for 1.5 hour at RT. The signal was developed using an ECL Plus Western Blotting Substrate. RHOT2 (MIRO2) was detected at 75-80 kDa, consistent with the phosphorylated and post-translationally modified forms described in peer-reviewed studies. The upward shift from the ~68 kDa predicted size likely reflects PINK1-dependent phosphorylation and related mitochondrial quality-control modifications.
Immunohistochemical staining of RHOT2 using anti-RHOT2 antibody. RHOT2 was detected in a paraffin-embedded section of human cervical cancer tissue. Heat mediated antigen retrieval was performed in EDTA buffer (pH 8.0, epitope retrieval solution). The tissue section was blocked with 10% goat serum. The tissue section was then incubated with 2 ug/ml rabbit anti-RHOT2 antibody overnight at 4oC. Peroxidase Conjugated Goat Anti-rabbit IgG was used as secondary antibody and incubated for 30 minutes at 37oC. The tissue section was developed using an HRP secondary and DAB substrate.
Immunohistochemical staining of RHOT2 using anti-RHOT2 antibody. RHOT2 was detected in a paraffin-embedded section of human renal cancer tissue. Heat mediated antigen retrieval was performed in EDTA buffer (pH 8.0, epitope retrieval solution). The tissue section was blocked with 10% goat serum. The tissue section was then incubated with 2 ug/ml rabbit anti-RHOT2 antibody overnight at 4oC. Peroxidase Conjugated Goat Anti-rabbit IgG was used as secondary antibody and incubated for 30 minutes at 37oC. The tissue section was developed using an HRP secondary and DAB substrate.
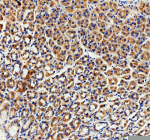
Immunohistochemical staining of RHOT2 using anti-RHOT2 antibody. RHOT2 was detected in a paraffin-embedded section of mouse stomach tissue. Heat mediated antigen retrieval was performed in EDTA buffer (pH 8.0, epitope retrieval solution). The tissue section was blocked with 10% goat serum. The tissue section was then incubated with 2 ug/ml rabbit anti-RHOT2 antibody overnight at 4oC. Peroxidase Conjugated Goat Anti-rabbit IgG was used as secondary antibody and incubated for 30 minutes at 37oC. The tissue section was developed using an HRP secondary and DAB substrate.
Immunohistochemical staining of RHOT2 using anti-RHOT2 antibody. RHOT2 was detected in a paraffin-embedded section of rat stomach tissue. Heat mediated antigen retrieval was performed in EDTA buffer (pH 8.0, epitope retrieval solution). The tissue section was blocked with 10% goat serum. The tissue section was then incubated with 2 ug/ml rabbit anti-RHOT2 antibody overnight at 4oC. Peroxidase Conjugated Goat Anti-rabbit IgG was used as secondary antibody and incubated for 30 minutes at 37oC. The tissue section was developed using an HRP secondary and DAB substrate.
Immunofluorescent staining of RHOT2 using anti-RHOT2 antibody (green) and anti-Tubulin Alpha antibody (red). RHOT2 was detected in immunocytochemical section of U2OS cell. Enzyme antigen retrieval was performed using IHC enzyme antigen retrieval reagent for 15 mins. The cells were blocked with 10% goat serum. And then incubated with 5 ug/ml rabbit anti-RHOT2 antibody and mouse anti-Tubulin Alpha antibody overnight at 4oC. DyLight 488 Conjugated Goat Anti-Rabbit IgG and Cy3 Conjugated Goat Anti-Mouse IgG were used as secondary antibody at 1:500 dilution and incubated for 30 minutes at 37oC. The section was counterstained with DAPI nuclear stain (blue). Visualize using a fluorescence microscope and filter sets appropriate for the label used.
Immunoprecipitation of RHOT2 in MCF-7 whole cell lysate. Western blot analysis of RHOT2 using anti-RHOT2 antibody; Lane 1: MCF-7 whole cell lysates (30ug); Lane 2: Rabbit control IgG instead of anti-RHOT2 antibody in MCF-7 whole cell lysate; Lane 3: anti-RHOT2 antibody (2ug) + MCF-7 whole cell lysate (500ug). After electrophoresis, proteins were transferred to a membrane. Then the membrane was incubated with rabbit anti-RHOT2 antibody at a dilution of 0.5 ug/ml and probed with a goat anti-rabbit IgG-HRP secondary antibody. The signal is developed using ECL Plus Western Blotting Substrate. RHOT2 (MIRO2) was detected at 75-80 kDa, consistent with the phosphorylated and post-translationally modified forms described in peer-reviewed studies. The upward shift from the ~68 kDa predicted size likely reflects PINK1-dependent phosphorylation and related mitochondrial quality-control modifications.
Flow Cytometry analysis of MCF-7 cells using anti-RHOT2 antibody. Overlay histogram showing MCF-7 cells stained with (Blue line). To facilitate intracellular staining, cells were fixed with 4% paraformaldehyde and permeabilized with permeabilization buffer. The cells were blocked with 10% normal goat serum. And then incubated with rabbit anti-RHOT2 antibody (1 ug/million cells) for 30 min at 20oC. DyLight 488 conjugated goat anti-rabbit IgG (5-10 ug/million cells) was used as secondary antibody for 30 minutes at 20oC. Isotype control antibody (Green line) was rabbit IgG (1 ug/million cells) used under the same conditions. Unlabelled sample without incubation with primary antibody and secondary antibody (Red line) was used as a blank control.
Availability 1-2 days
Species Reactivity Human, Mouse, Rat
Format Lyophilized
Clonality Polyclonal (rabbit origin)
Isotype Rabbit IgG
Purity Immunogen affinity purified
Buffer Each vial contains 4 mg Trehalose, 0.9 mg NaCl, 0.2 mg Na2HPO4.
UniProt Q8IXI1
Localization Cytoplasm (Mitochondria)
Applications ELISA : 0.1-0.5ug/ml
Flow Cytometry : 1-3ug/million cells
Immunoprecipitation : 2-4ug/500ug of lysate
Immunofluorescence : 5ug/ml
Immunohistochemistry : 2-5ug/ml
Immunocytochemistry : 5ug/ml
Western Blot : 0.25-0.5ug/ml
Limitations This RHOT2 antibody is available for research use only.
Review this product on BioCompare and get a $20 Amazon gift card

Description

The RHOT2 antibody targets Mitochondrial Rho GTPase 2, a small GTP-binding protein encoded by the RHOT2 gene. Also known as Miro2, this protein is anchored to the outer mitochondrial membrane and regulates mitochondrial trafficking, dynamics, and calcium signaling. Mitochondrial Rho GTPase 2 interacts with adaptors such as TRAK1 and kinesin motor proteins to mediate mitochondrial transport along microtubules. The RHOT2 antibody enables detailed analysis of mitochondrial movement, morphology, and positioning within cells under physiological and pathological conditions.

Mitochondrial Rho GTPase 2 is part of the Miro family, which also includes RHOT1 (Miro1). Both proteins contain two GTPase domains and two calcium-binding EF-hand motifs that sense cytosolic calcium levels to control organelle motility. Under elevated calcium conditions, RHOT2 disengages mitochondria from microtubule motors, halting transport and localizing organelles near energy-demanding sites. The RHOT2 antibody is essential for studying these regulatory events and mapping mitochondrial dynamics during cell stress, differentiation, and neuronal signaling.

Defects in RHOT2-mediated transport are linked to neurodegenerative disorders such as Parkinson's disease and Charcot-Marie-Tooth disease. Impaired mitochondrial motility can disrupt energy distribution, leading to axonal degeneration and synaptic dysfunction. The RHOT2 antibody provides a means to measure protein expression in neuronal tissues and to investigate molecular mechanisms that couple mitochondrial movement with cellular signaling pathways. By examining Mitochondrial Rho GTPase 2 expression, researchers gain insight into how mitochondrial positioning influences metabolism and neuroprotection.

In addition to its transport role, Mitochondrial Rho GTPase 2 contributes to mitochondrial quality control and mitophagy. It interacts with the E3 ubiquitin ligase Parkin and participates in PINK1-Parkin-mediated degradation of damaged mitochondria. The RHOT2 antibody allows visualization of these processes in cellular models of mitochondrial dysfunction, facilitating research into the molecular pathology of Parkinsonian syndromes and mitochondrial diseases. Furthermore, altered RHOT2 expression has been associated with metabolic stress and cancer cell survival, underscoring its broader physiological importance.

The RHOT2 antibody is suitable for use in western blotting, immunofluorescence microscopy, and immunohistochemistry. It produces a distinct mitochondrial staining pattern, enabling analysis of organelle distribution and morphology. NSJ Bioreagents provides the RHOT2 antibody as a validated and high-performance reagent for mitochondrial research. By offering reliable detection of Mitochondrial Rho GTPase 2, this antibody advances studies of organelle transport, cellular bioenergetics, and mitochondrial homeostasis in health and disease.

Application Notes

Optimal dilution of the RHOT2 antibody should be determined by the researcher.

Immunogen

E.coli-derived human MIRO2/RHOT2 recombinant protein (Position: D321-V615) was used as the immunogen for the RHOT2 antibody.

Storage

After reconstitution, the RHOT2 antibody can be stored for up to one month at 4oC. For long-term, aliquot and store at -20oC. Avoid repeated freezing and thawing.

Cross
Bulk Quote Request Form
Name*:
Organization*:
Email*:
Phone Number*:
Catalog No.*:
Comments and Specifics(amount, formulation, etc.)*:
Validation code: Captchapackage Image


Can't read the image? click here to refresh.
    *required field

Your bulk quote request has been submitted successfully!

Please contact us if you have any questions.