• Tel: 858.663.9055
  • SeparatorEmail: info@nsjbio.com
  • Tel: 858.663.9055
  • Email: info@nsjbio.com
Home >> Antibodies >> Rhodopsin Antibody / RHO

Rhodopsin Antibody / RHO [clone AADI-18] (RQ5200)

  Catalog No Formulation Size Price (USD)  
Image RQ5200 Antibody in PBS with 0.02% sodium azide, 50% glycerol and 0.4-0.5mg/ml BSA 100 ul 439
Microvalidated Rab Mono Image
Bulk quote request
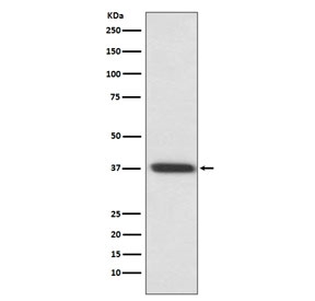
Western blot testing of rat eyeball lysate with Rhodopsin antibody. Predicted molecular weight ~40 kDa.
Availability 1-2 weeks
Species Reactivity Human, Rat
Format Purified
Clonality Rabbit Monoclonal
Isotype Rabbit IgG
Clone Name AADI-18
Purity Affinity purified
UniProt P08100
Applications Western Blot : 1:500-1:2000
Limitations This Rhodopsin antibody is available for research use only.
Review this product on BioCompare and get a $20 Amazon gift card

Related Products

  • Applications : WB, ELISA
    Reactivity : Human
    Pred. Reactivity : Primate

Description

The protein encoded by the RHO gene is found in rod cells in the back of the eye and is essential for vision in low-light conditions. The encoded protein binds to 11-cis retinal and is activated when light hits the retinal molecule. Defects in this gene are a cause of congenital stationary night blindness. [RefSeq]

Application Notes

Optimal dilution of the Rhodopsin antibody should be determined by the researcher.

Immunogen

A synthetic peptide specific to human Rhodopsin / RHO was used as the immunogen for the Rhodopsin antibody.

Storage

Store the Rhodopsin antibody at -20oC.

Cross
Bulk Quote Request Form
Name*:
Organization*:
Email*:
Phone Number*:
Catalog No.*:
Comments and Specifics(amount, formulation, etc.)*:
Validation code: Captchapackage Image


Can't read the image? click here to refresh.
    *required field

Your bulk quote request has been submitted successfully!

Please contact us if you have any questions.