• Tel: 858.663.9055
  • SeparatorEmail: info@nsjbio.com
  • Tel: 858.663.9055
  • Email: info@nsjbio.com
Home >> Antibodies >> RHOB Antibody

RHOB Antibody (RQ4915)

  Catalog No Formulation Size Price (USD)  
Image RQ4915 0.5mg/ml if reconstituted with 0.2ml sterile DI water 100 ug 439
Bulk quote request
Western blot testing of human 1) placenta, 2) HepG2, 3) T-47D, 4) HeLa and 5) monkey COS-7 lysate with RHOB antibody at 0.5ug/ml. Predicted molecular weight ~22 kDa.
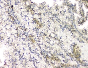
IHC staining of FFPE human breast cancer with RHOB antibody. HIER: boil tissue sections in pH6, 10mM citrate buffer, for 20 min and allow to cool before testing.
IHC staining of FFPE human renal cancer with RHOB antibody. HIER: boil tissue sections in pH6, 10mM citrate buffer, for 20 min and allow to cool before testing.
Western blot testing of 1) human HeLa, 2) rat brain, 3) rat C6, 4) mouse brain and 5) monkey COS-7 lysate with RHOB antibody at 0.5ug/ml. Predicted molecular weight ~22 kDa.
Immunofluorescent staining of FFPE human U-2 OS cells with RHOB antibody (green) and DAPI nuclear stain (blue). HIER: steam section in pH6 citrate buffer for 20 min.
Availability 1-3 business days
Species Reactivity Human, Mouse, Rat, Monkey
Format Antigen affinity purified
Clonality Polyclonal (rabbit origin)
Isotype Rabbit IgG
Purity Antigen affinity purified
Buffer Lyophilized from 1X PBS with 2% Trehalose and 0.025% sodium azide
UniProt P62745
Applications Western Blot : 0.5-1ug/ml
Immunohistochemistry (FFPE) : 1-2ug/ml
Immunofluorescence : 5ug/ml
Limitations This RHOB antibody is available for research use only.
Review this product on BioCompare and get a $20 Amazon gift card

Related Products

  • Applications : WB, Direct ELISA
    Reactivity : Human, Mouse, Rat

Description

Ras homolog gene family, member B, also known as RHOB, is a protein which in humans is encoded by the RHOB gene. This gene is mapped to 2p24.1. It is a member of the Rho GTP-binding protein family. And RHOB has been shown to interact with CIT, ARHGEF3, ARHGDIG and RHPN2. RHOB plays a negative role in tumorigenesis as deletion causes tumor formation. Also, it serves as a microtubule-dependent signal that is required for the myosin contractile ring formation during cell cycle cytokinesis.

Application Notes

Optimal dilution of the RHOB antibody should be determined by the researcher.

Immunogen

Amino acids NKKDLRSDEHVRTELARMKQEPVRTDDGRAMAVRIQAYDYLE from the human protein were used as the immunogen for the RHOB antibody.

Storage

After reconstitution, the RHOB antibody can be stored for up to one month at 4oC. For long-term, aliquot and store at -20oC. Avoid repeated freezing and thawing.

Cross
Bulk Quote Request Form
Name*:
Organization*:
Email*:
Phone Number*:
Catalog No.*:
Comments and Specifics(amount, formulation, etc.)*:
Validation code: Captchapackage Image


Can't read the image? click here to refresh.
    *required field

Your bulk quote request has been submitted successfully!

Please contact us if you have any questions.