• Tel: 858.663.9055
  • SeparatorEmail: info@nsjbio.com
  • Tel: 858.663.9055
  • Email: info@nsjbio.com
Home >> Antibodies >> RGS6 Antibody

RGS6 Antibody (RQ6113)

  Catalog No Formulation Size Price (USD)  
Image RQ6113 0.5mg/ml if reconstituted with 0.2ml sterile DI water 100 ug 439
Bulk quote request
IHC staining of FFPE human bladder cancer with RGS6 antibody. HIER: boil tissue sections in pH8 EDTA for 20 min and allow to cool before testing.
IHC staining of FFPE human gastric cancer with RGS6 antibody. HIER: boil tissue sections in pH8 EDTA for 20 min and allow to cool before testing.
IHC staining of FFPE human gastric cancer with RGS6 antibody. HIER: boil tissue sections in pH8 EDTA for 20 min and allow to cool before testing.
IHC staining of FFPE human renal carcinoma with RGS6 antibody. HIER: boil tissue sections in pH8 EDTA for 20 min and allow to cool before testing.
IHC staining of FFPE human pancreatic cancer with RGS6 antibody. HIER: boil tissue sections in pH8 EDTA for 20 min and allow to cool before testing.
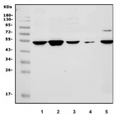
Western blot testing of 1) human T-47D, 2) human MCF7, 3) human HeLa, 4) rat heart and 5) mouse kidney lysate with RGS6 antibody. Predicted molecular weight ~54 kDa.
Flow cytometry testing of human MCF7 cells with RGS6 antibody at 1ug/million cells (blocked with goat sera); Red=cells alone, Green=isotype control, Blue= RGS6 antibody.
Availability 1-3 business days
Species Reactivity Human, Mouse, Rat
Format Antigen affinity purified
Clonality Polyclonal (rabbit origin)
Isotype Rabbit IgG
Purity Affinity purified
Buffer Lyophilized from 1X PBS with 2% Trehalose and 0.025% sodium azide
UniProt P49758
Localization Nuclear, cytoplasmic
Applications Western Blot : 1-2ug/ml
Immunohistochemistry (FFPE) : 2-5ug/ml
Flow Cytometry : 1-3ug/million cells
Direct ELISA : 0.1-0.5ug/ml
Limitations This RGS6 antibody is available for research use only.
Review this product on BioCompare and get a $20 Amazon gift card

Related Products

Description

Regulator of G-protein signaling 6 is a protein that in humans is encoded by the RGS6 gene. This gene encodes a member of the RGS (regulator of G protein signaling) family of proteins, which are defined by the presence of a RGS domain that confers the GTPase-activating activity of these proteins toward certain G alpha subunits. This protein also belongs to a subfamily of RGS proteins characterized by the presence of DEP and GGL domains, the latter a G beta 5-interacting domain. The RGS proteins negatively regulate G protein signaling, and may modulate neuronal, cardiovascular, lymphocytic activities, and cancer risk. Many alternatively spliced transcript variants encoding different isoforms with long or short N-terminal domains, complete or incomplete GGL domains, and distinct C-terminal domains, have been described for this gene, however, the full-length nature of some of these variants is not known.

Application Notes

Optimal dilution of the RGS6 antibody should be determined by the researcher.

Immunogen

A human recombinant partial protein (amino acids D7-E357) was used as the immunogen for the RGS6 antibody.

Storage

After reconstitution, the RGS6 antibody can be stored for up to one month at 4oC. For long-term, aliquot and store at -20oC. Avoid repeated freezing and thawing.

Cross
Bulk Quote Request Form
Name*:
Organization*:
Email*:
Phone Number*:
Catalog No.*:
Comments and Specifics(amount, formulation, etc.)*:
Validation code: Captchapackage Image


Can't read the image? click here to refresh.
    *required field

Your bulk quote request has been submitted successfully!

Please contact us if you have any questions.