• Tel: 858.663.9055
  • SeparatorEmail: info@nsjbio.com
  • Tel: 858.663.9055
  • Email: info@nsjbio.com
Home >> Antibodies >> RETN Antibody / Resistin

RETN Antibody / Resistin [clone RETN/4327] (V9512)

  Catalog No Formulation Size Price (USD)  
Image V9512-100UG 0.2 mg/ml in 1X PBS with 0.1 mg/ml BSA (US sourced), 0.05% sodium azide 100 ug 539
Image
V9512-20UG 0.2 mg/ml in 1X PBS with 0.1 mg/ml BSA (US sourced), 0.05% sodium azide 20 ug 249
Image
V9512SAF-100UG 1 mg/ml in 1X PBS; BSA free, sodium azide free 100 ug 539
Microvalidated
Bulk quote request
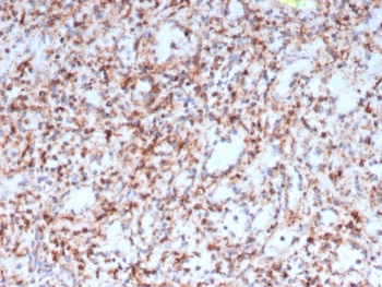
IHC staining of FFPE human spleen tissue with RETN antibody (clone RETN/4327). HIER: boil tissue sections in pH 9 10mM Tris with 1mM EDTA for 20 min and allow to cool before testing.
SDS-PAGE analysis of purified, BSA-free RETN antibody (clone RETN/4327) as confirmation of integrity and purity.
Analysis of HuProt(TM) microarray containing more than 19,000 full-length human proteins using RETN antibody (clone RETN/4327). These results demonstrate the foremost specificity of the RETN/4327 mAb. Z- and S- score: The Z-score represents the strength of a signal that an antibody (in combination with a fluorescently-tagged anti-IgG secondary Ab) produces when binding to a particular protein on the HuProt(TM) array. Z-scores are described in units of standard deviations (SD's) above the mean value of all signals generated on that array. If the targets on the HuProt(TM) are arranged in descending order of the Z-score, the S-score is the difference (also in units of SD's) between the Z-scores. The S-score therefore represents the relative target specificity of an Ab to its intended target.
Availability 1-3 business days
Species Reactivity Human
Format Purified
Clonality Monoclonal (mouse origin)
Isotype Mouse IgG2b, kappa
Clone Name RETN/4327
Purity Protein A/G affinity
UniProt Q9HD89
Localization Secreted
Applications Immunohistochemistry (FFPE) : 1-2ug/ml
Limitations This RETN antibody is available for research use only.
Review this product on BioCompare and get a $20 Amazon gift card

Related Products

Description

The cysteine-rich, adipose tissue-specific, secretory factor resistin (resistance to Insulin) also known as ADSF, is a secreted hormone that potentially links obesity to diabetes. Resistin is rich in serine and cysteine residues and contains a unique cysteine repeat motif. Resistin and the resistin-like molecules share the characteristic cysteine composition and other signature features. Resistin-like expression is highest in proliferative epithelial cells and is markedly increased in tumors, suggesting a role in intestinal proliferation.

Application Notes

Optimal dilution of the RETN antibody should be determined by the researcher.

Immunogen

A portion of amino acids 19-108 was used as the immunogen for the RETN antibody.

Storage

Aliquot the RETN antibody and store frozen at -20oC or colder. Avoid repeated freeze-thaw cycles.

Cross
Bulk Quote Request Form
Name*:
Organization*:
Email*:
Phone Number*:
Catalog No.*:
Comments and Specifics(amount, formulation, etc.)*:
Validation code: Captchapackage Image


Can't read the image? click here to refresh.
    *required field

Your bulk quote request has been submitted successfully!

Please contact us if you have any questions.