• Tel: 858.663.9055
  • SeparatorEmail: info@nsjbio.com
  • Tel: 858.663.9055
  • Email: info@nsjbio.com
Home >> Antibodies >> REST Antibody / RE1-silencing transcription factor

REST Antibody / RE1-silencing transcription factor (FY13017)

  Catalog No Formulation Size Price (USD)  
Image FY13017 Adding 0.2 ml of distilled water will yield a concentration of 500 ug/ml 100 ug 439
Bulk quote request
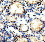
Immunohistochemical staining of REST using anti-REST antibody. REST was detected in a paraffin-embedded section of human colon cancer tissue. Heat mediated antigen retrieval was performed in EDTA buffer (pH 8.0, epitope retrieval solution). The tissue section was blocked with 10% goat serum. The tissue section was then incubated with 2 ug/ml rabbit anti-REST antibody overnight at 4oC. Peroxidase Conjugated Goat Anti-rabbit IgG was used as secondary antibody and incubated for 30 minutes at 37oC. The tissue section was developed using an HRP secondary and DAB substrate.
Western blot analysis of REST using anti-REST antibody. Electrophoresis was performed on a 8% SDS-PAGE gel at 80V (Stacking gel) / 120V (Resolving gel) for 2 hours. Lane 1: human Hela whole cell lysates, Lane 2: human HepG2 whole cell lysates, Lane 3: human K562 whole cell lysates. After electrophoresis, proteins were transferred to a nitrocellulose membrane at 150 mA for 50-90 minutes. Blocked the membrane with 5% non-fat milk/TBS for 1.5 hour at RT. The membrane was incubated with rabbit anti-REST antibody at 0.5 ug/ml overnight at 4oC, then washed with TBS-0.1%Tween 3 times with 5 minutes each and probed with a goat anti-rabbit IgG-HRP secondary antibody at a dilution of 1:5000 for 1.5 hour at RT. The signal was developed using an ECL Plus Western Blotting Substrate. Western blot of REST using an antibody recognizing a shared region detects a prominent ~51 kDa band corresponding to the REST4 splice isoform and weaker higher bands (including ~110-125 kDa) consistent with full-length REST and proteolytic fragments; this isoform pattern is commonly observed across these cell lines.
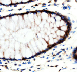
Immunohistochemical staining of REST using anti-REST antibody. REST was detected in a paraffin-embedded section of human colon tissue. Heat mediated antigen retrieval was performed in EDTA buffer (pH 8.0, epitope retrieval solution). The tissue section was blocked with 10% goat serum. The tissue section was then incubated with 2 ug/ml rabbit anti-REST antibody overnight at 4oC. Peroxidase Conjugated Goat Anti-rabbit IgG was used as secondary antibody and incubated for 30 minutes at 37oC. The tissue section was developed using an HRP secondary and DAB substrate.
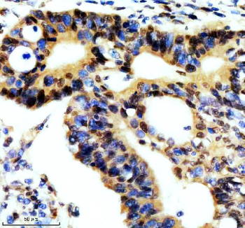
Immunohistochemical staining of REST using anti-REST antibody. REST was detected in a paraffin-embedded section of human thyroid cancer tissue. Heat mediated antigen retrieval was performed in EDTA buffer (pH 8.0, epitope retrieval solution). The tissue section was blocked with 10% goat serum. The tissue section was then incubated with 2 ug/ml rabbit anti-REST antibody overnight at 4oC. Peroxidase Conjugated Goat Anti-rabbit IgG was used as secondary antibody and incubated for 30 minutes at 37oC. The tissue section was developed using an HRP secondary and DAB substrate.
Flow Cytometry analysis of K562 cells using anti-REST antibody. Overlay histogram showing K562 cells stained with (Blue line). To facilitate intracellular staining, cells were fixed with 4% paraformaldehyde and permeabilized with permeabilization buffer. The cells were blocked with 10% normal goat serum. And then incubated with rabbit anti-REST antibody (1 ug/million cells) for 30 min at 20oC. DyLight 488 conjugated goat anti-rabbit IgG (5-10 ug/million cells) was used as secondary antibody for 30 minutes at 20oC. Isotype control antibody (Green line) was rabbit IgG (1 ug/million cells) used under the same conditions. Unlabelled sample without incubation with primary antibody and secondary antibody (Red line) was used as a blank control.
Availability 1-2 days
Species Reactivity Human
Format Lyophilized
Clonality Polyclonal (rabbit origin)
Isotype Rabbit IgG
Purity Immunogen affinity purified
Buffer Each vial contains 4 mg Trehalose, 0.9 mg NaCl, 0.2 mg Na2HPO4.
UniProt Q13127
Localization Nuclear, cytoplasmic
Applications Western Blot : 0.25-0.5ug/ml
Immunohistochemistry : 2-5ug/ml
Flow Cytometry : 1-3ug/million cells
ELISA : 0.1-0.5ug/ml
Limitations This REST antibody is available for research use only.
Review this product on BioCompare and get a $20 Amazon gift card

Related Products

Description

REST antibody detects RE1-silencing transcription factor, a zinc finger DNA-binding protein that represses neuronal gene expression in non-neuronal cells. The UniProt recommended name is RE1-silencing transcription factor (REST). Also known as neuron-restrictive silencer factor (NRSF), this protein plays a pivotal role in epigenetic regulation of gene expression by binding to RE1/NRSE motifs and recruiting chromatin-modifying complexes.

Functionally, REST antibody identifies a 1097-amino-acid nuclear protein that suppresses transcription by forming repressive chromatin structures. REST recognizes RE1 sites present in the promoters of neuronal genes and recruits corepressors such as CoREST, mSin3, and histone deacetylases (HDAC1/2). These interactions promote chromatin condensation and transcriptional silencing, preventing inappropriate neuronal gene expression in non-neuronal tissues.

The REST gene is located on chromosome 4q12 and encodes a multi-zinc finger transcription factor with eight C2H2 zinc finger motifs that mediate sequence-specific DNA binding. REST acts as a master regulator of neurogenesis, ensuring proper timing of neuronal differentiation. During development, REST levels decline in differentiating neurons, allowing the expression of genes required for synaptic function, ion channel activity, and neurotransmitter release.

In addition to developmental regulation, REST participates in neural plasticity, stem cell maintenance, and stress response pathways. Dysregulation of REST has been linked to neurological disorders, including epilepsy, Huntington's disease, and Alzheimer's disease. Elevated REST expression in non-neuronal cancers such as medulloblastoma and neuroblastoma suggests a role in tumorigenesis through repression of differentiation pathways.

REST antibody is widely used in neuroscience, epigenetics, and cancer research. It is suitable for chromatin immunoprecipitation (ChIP), immunoblotting, and immunofluorescence to study REST localization, DNA binding, and interaction networks. This antibody aids in exploring transcriptional silencing mechanisms and neurodevelopmental regulation. In oncology, REST serves as a biomarker of altered differentiation and epigenetic reprogramming.

Structurally, REST contains an N-terminal repression domain that recruits mSin3-HDAC complexes and a C-terminal domain that binds CoREST and associated enzymes such as LSD1. REST-mediated repression involves coordinated histone deacetylation and demethylation, establishing a transcriptionally repressive chromatin environment. NSJ Bioreagents provides REST antibody reagents validated for use in transcriptional repression, neuronal gene regulation, and chromatin remodeling studies.

Application Notes

Optimal dilution of the REST antibody should be determined by the researcher.

Immunogen

E.coli-derived human REST recombinant protein (Position: E110-E1097) was used as the immunogen for the REST antibody.

Storage

After reconstitution, the REST antibody can be stored for up to one month at 4oC. For long-term, aliquot and store at -20oC. Avoid repeated freezing and thawing.

Cross
Bulk Quote Request Form
Name*:
Organization*:
Email*:
Phone Number*:
Catalog No.*:
Comments and Specifics(amount, formulation, etc.)*:
Validation code: Captchapackage Image


Can't read the image? click here to refresh.
    *required field

Your bulk quote request has been submitted successfully!

Please contact us if you have any questions.