• Tel: 858.663.9055
  • SeparatorEmail: info@nsjbio.com
  • Tel: 858.663.9055
  • Email: info@nsjbio.com
Home >> Antibodies >> REST Antibody

REST Antibody (F45229)

  Catalog No Formulation Size Price (USD)  
Image F45229-0.4ML In 1X PBS, pH 7.4, with 0.09% sodium azide 0.4 ml 429
Image
F45229-0.08ML In 1X PBS, pH 7.4, with 0.09% sodium azide 0.08 ml 199
Bulk quote request
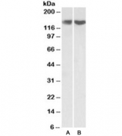
REST antibody western blot analysis in Jurkat lysate.
Availability 1-3 business days
Species Reactivity Human
Format Antigen affinity purified
Clonality Polyclonal (rabbit origin)
Isotype Rabbit Ig
Purity Antigen affinity
UniProt Q13127
Applications Western Blot : 1:1000
Limitations This REST antibody is available for research use only.
Review this product on BioCompare and get a $20 Amazon gift card

Related Products

Description

Transcriptional repressor which binds neuron-restrictive silencer element (NRSE) and represses neuronal gene transcription in non-neuronal cells. Restricts the expression of neuronal genes by associating with two distinct corepressors, mSin3 and CoREST, which in turn recruit histone deacetylase to the promoters of REST-regulated genes. Mediates repression by recruiting the BHC complex at RE1/NRSE sites which acts by deacetylating and demethylating specific sites on histones, thereby acting as a chromatin modifier.

Application Notes

Titration of the REST antibody may be required due to differences in protocols and secondary/substrate sensitivity.

Immunogen

A portion of amino acids 542-570 from the human protein was used as the immunogen for this REST antibody.

Storage

Aliquot the REST antibody and store frozen at -20oC or colder. Avoid repeated freeze-thaw cycles.

Cross
Bulk Quote Request Form
Name*:
Organization*:
Email*:
Phone Number*:
Catalog No.*:
Comments and Specifics(amount, formulation, etc.)*:
Validation code: Captchapackage Image


Can't read the image? click here to refresh.
    *required field

Your bulk quote request has been submitted successfully!

Please contact us if you have any questions.