• Tel: 858.663.9055
  • SeparatorEmail: info@nsjbio.com
  • Tel: 858.663.9055
  • Email: info@nsjbio.com
Home >> Antibodies >> Renin Antibody / REN

Renin Antibody / REN (RQ5757)

  Catalog No Formulation Size Price (USD)  
Image RQ5757 0.5mg/ml if reconstituted with 0.2ml sterile DI water 100 ug 439
Bulk quote request
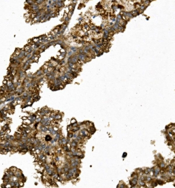
IHC staining of FFPE human renal cancer with Renin antibody. HIER: boil tissue sections in pH8 EDTA for 20 min and allow to cool before testing.
Availability 1-3 business days
Species Reactivity Human
Format Antigen affinity purified
Clonality Polyclonal (rabbit origin)
Isotype Rabbit IgG
Purity Affinity purified
Buffer Lyophilized from 1X PBS with 2% Trehalose and 0.025% sodium azide
UniProt P00797
Applications Immunohistochemistry : 1-2ug/ml
Limitations This Renin antibody is available for research use only.
Review this product on BioCompare and get a $20 Amazon gift card

Related Products

  • Applications : WB, IHC, ELISA (peptide)
    Reactivity : Human
    Pred. Reactivity : Rat
  • Applications : WB, IHC-P, Direct ELISA
    Reactivity : Human, Mouse, Rat

Description

The REN gene encodes Renin, an aspartic protease that is secreted by the kidneys. Renin is a part of the renin-angiotensin-aldosterone system involved in regulation of blood pressure, and electrolyte balance. This enzyme catalyzes the first step in the activation pathway of angiotensinogen by cleaving angiotensinogen to form angiotensin I, which is then converted to angiotensin II by angiotensin I converting enzyme. This cascade can result in aldosterone release, narrowing of blood vessels, and increase in blood pressure as angiotension II is a vasoconstrictive peptide. Transcript variants that encode different protein isoforms and that arise from alternative splicing and the use of alternative promoters have been described, but their full-length nature has not been determined. Mutations in this gene have been shown to cause hyperuricemic nephropathy familial juvenile 2, familial hyperproreninemia, and renal tubular dysgenesis.

Application Notes

Optimal dilution of the Renin antibody should be determined by the researcher.

Immunogen

Amino acids RKFYTEFDRRNNRIGFALAR from the human protein were used as the immunogen for the Renin antibody.

Storage

After reconstitution, the Renin antibody can be stored for up to one month at 4oC. For long-term, aliquot and store at -20oC. Avoid repeated freezing and thawing.

Cross
Bulk Quote Request Form
Name*:
Organization*:
Email*:
Phone Number*:
Catalog No.*:
Comments and Specifics(amount, formulation, etc.)*:
Validation code: Captchapackage Image


Can't read the image? click here to refresh.
    *required field

Your bulk quote request has been submitted successfully!

Please contact us if you have any questions.