• Tel: 858.663.9055
  • SeparatorEmail: info@nsjbio.com
  • Tel: 858.663.9055
  • Email: info@nsjbio.com
Home >> Antibodies >> Renalase Antibody

Renalase Antibody [clone RNLS/1940] (V3904)

  Catalog No Formulation Size Price (USD)  
Image V3904-100UG 0.2 mg/ml in 1X PBS with 0.1 mg/ml BSA (US sourced) and 0.05% sodium azide 100 ug 539
Image
V3904-20UG 0.2 mg/ml in 1X PBS with 0.1 mg/ml BSA (US sourced) and 0.05% sodium azide 20 ug 249
Image
V3904SAF-100UG 1 mg/ml in 1X PBS; BSA free, sodium azide free 100 ug 539
Bulk quote request
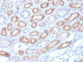
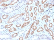
IHC testing of FFPE human kidney with Renalase antibody (clone RNLS/1940). HIER: boil tissue sections in pH6, 10mM citrate buffer, for 10-20 min followed by cooling at RT for 20 min.
IHC testing of FFPE human kidney with Renalase antibody (clone RNLS/1940). HIER: boil tissue sections in pH6, 10mM citrate buffer, for 10-20 min followed by cooling at RT for 20 min.
Availability 1-2 business days
Species Reactivity Human
Format Purified
Clonality Monoclonal (mouse origin)
Isotype Mouse IgG2b, kappa
Clone Name RNLS/1940
Purity Protein G affinity
UniProt Q5VYX0
Localization Secreted
Applications ELISA (order BSA/sodium Azide-free Format For Coating) :
Limitations This Renalase antibody is available for research use only.
Review this product on BioCompare and get a $20 Amazon gift card

Related Products

  • Applications : WB, ELISA (peptide)
    Reactivity : Human, Mouse, Rat
  • Applications : WB, ELISA (peptide)
    Reactivity : Human, Mouse, Rat
    Pred. Reactivity : Cow, Dog

Description

Renalase is a 342 amino acid FAD-dependent amine oxidase that is highly expressed in kidney and is expressed at a lower level in heart, skeletal muscle and small intestine. Renalase is secreted in the blood by the kidney and it is thought to regulate cardiac function and systemic blood pressure. It is also suggested that Renalase functions as a hormone that metabolizes circulating catecholamines, which have an active role in the sympathetic and parasympathetic nervous systems. Individuals with chronic kidney disease and end-stage renal disease have markedly reduced levels of plasma Renalase than healthy individuals. Infusion of Renalase in animal models causes decrease in heart rate, cardiac contractility and blood pressure. Two isoforms of Renalase exist due to alternative splicing events.

Application Notes

Optimal dilution of the Renalase antibody should be determined by the researcher.

Immunogen

A portion of amino acids 34-235 from the human protein was used as the immunogen for the Renalase antibody.

Storage

Store the Renalase antibody at 2-8oC (with azide) or aliquot and store at -20oC or colder (without azide).

Cross
Bulk Quote Request Form
Name*:
Organization*:
Email*:
Phone Number*:
Catalog No.*:
Comments and Specifics(amount, formulation, etc.)*:
Validation code: Captchapackage Image


Can't read the image? click here to refresh.
    *required field

Your bulk quote request has been submitted successfully!

Please contact us if you have any questions.