• Tel: 858.663.9055
  • SeparatorEmail: info@nsjbio.com
  • Tel: 858.663.9055
  • Email: info@nsjbio.com
Home >> Antibodies >> Renalase Antibody

Renalase Antibody (R35307)

  Catalog No Formulation Size Price (USD)  
Image R35307-100UG 0.5 mg/ml in 1X TBS, pH7.3, with 0.5% BSA (US sourced) and 0.02% sodium azide 100 ug 449
Bulk quote request
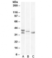
Western blot testing of rat kidney lysate with Renalase antibody at 0.5ug/ml. Predicted molecular weight (rat): ~35kDa.
Availability 1-3 business days
Species Reactivity Human, Mouse, Rat
Format Antigen affinity purified
Clonality Polyclonal (goat origin)
Isotype Goat Ig
Purity Antigen affinity
Gene ID 55328
Applications Western Blot : 0.5-1.5ug/ml
ELISA (peptide) LOD : 1:32000
Limitations This Renalase antibody is available for research use only.
Review this product on BioCompare and get a $20 Amazon gift card

Related Products

  • Applications : ELISA
    Reactivity : Human
  • Applications : WB, ELISA (peptide)
    Reactivity : Human, Mouse, Rat
    Pred. Reactivity : Cow, Dog

Description

Additional name(s) for this target protein: Chromosome 10 open reading frame 59; C10orf59

Application Notes

Optimal dilution of the Renalase antibody should be determined by the researcher.

Immunogen

Amino acids QINLRDDKWEVSKQ were used as the immunogen for this Renalase antibody.

Storage

Aliquot and store the Renalase antibody at -20oC.

Cross
Bulk Quote Request Form
Name*:
Organization*:
Email*:
Phone Number*:
Catalog No.*:
Comments and Specifics(amount, formulation, etc.)*:
Validation code: Captchapackage Image


Can't read the image? click here to refresh.
    *required field

Your bulk quote request has been submitted successfully!

Please contact us if you have any questions.