• Tel: 858.663.9055
  • SeparatorEmail: info@nsjbio.com
  • Tel: 858.663.9055
  • Email: info@nsjbio.com
Home >> Antibodies >> Recoverin Antibody / RCVRN

Recoverin Antibody / RCVRN (RQ7999)

  Catalog No Formulation Size Price (USD)  
Image RQ7999 0.5mg/ml if reconstituted with 0.2ml sterile DI water 100 ug 439
Bulk quote request
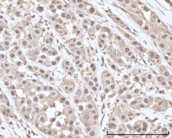
IHC staining of FFPE human breast cancer tissue with Recoverin antibody. HIER: boil tissue sections in pH8 EDTA for 20 min and allow to cool before testing.
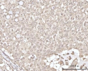
IHC staining of FFPE human uterus tissue with Recoverin antibody. HIER: boil tissue sections in pH8 EDTA for 20 min and allow to cool before testing.
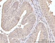
IHC staining of FFPE human lung cancer tissue with Recoverin antibody. HIER: boil tissue sections in pH8 EDTA for 20 min and allow to cool before testing.
IHC staining of FFPE human ovarian cancer tissue with Recoverin antibody. HIER: boil tissue sections in pH8 EDTA for 20 min and allow to cool before testing.
IHC staining of FFPE human tonsil tissue with Recoverin antibody. HIER: boil tissue sections in pH8 EDTA for 20 min and allow to cool before testing.
Western blot testing of human ARPE-19 cell lysate with Recoverin antibody. Predicted molecular weight ~23 kDa.
Availability 1-3 business days
Species Reactivity Human
Format Antigen affinity purified
Clonality Polyclonal (rabbit origin)
Isotype Rabbit IgG
Purity Antigen affinity purified
Buffer Lyophilized from 1X PBS with 2% Trehalose
UniProt P35243
Applications Western Blot : 0.5-1ug/ml
Immunohistochemistry (FFPE) : 2-5ug/ml
Direct ELISA : 0.1-0.5ug/ml
Limitations This Recoverin antibody is available for research use only.
Review this product on BioCompare and get a $20 Amazon gift card

Related Products

  • Applications : WB, IHC, ELISA
    Reactivity : Human

Description

This gene encodes a member of the recoverin family of neuronal calcium sensors. The encoded protein contains three calcium-binding EF-hand domains and may prolong the termination of the phototransduction cascade in the retina by blocking the phosphorylation of photo-activated rhodopsin. Recoverin may be the antigen responsible for cancer-associated retinopathy.

Application Notes

Optimal dilution of the Recoverin antibody should be determined by the researcher.

Immunogen

E. coli-derived recombinant human protein (amino acids Q33-K150) was used as the immunogen for the Recoverin antibody.

Storage

After reconstitution, the Recoverin antibody can be stored for up to one month at 4oC. For long-term, aliquot and store at -20oC. Avoid repeated freezing and thawing.

Cross
Bulk Quote Request Form
Name*:
Organization*:
Email*:
Phone Number*:
Catalog No.*:
Comments and Specifics(amount, formulation, etc.)*:
Validation code: Captchapackage Image


Can't read the image? click here to refresh.
    *required field

Your bulk quote request has been submitted successfully!

Please contact us if you have any questions.