• Tel: 858.663.9055
  • SeparatorEmail: info@nsjbio.com
  • Tel: 858.663.9055
  • Email: info@nsjbio.com
Home >> Antibodies >> Recoverin Antibody

Recoverin Antibody (F44409)

  Catalog No Formulation Size Price (USD)  
Image F44409-0.4ML In 1X PBS, pH 7.4, with 0.09% sodium azide 0.4 ml 429
Image
F44409-0.08ML In 1X PBS, pH 7.4, with 0.09% sodium azide 0.08 ml 199
Bulk quote request
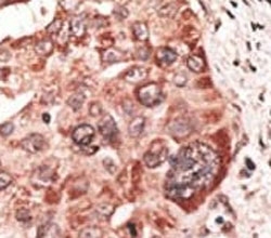
IHC analysis of FFPE human hepatocarcinoma tissue stained with the Recoverin antibody
Recoverin antibody used in western blot to detect Recoverin in Y79 cell lysate
Availability 1-3 business days
Species Reactivity Human
Format Purified
Clonality Polyclonal (rabbit origin)
Isotype Rabbit Ig
Purity Purified
UniProt P35243
Applications Western Blot : 1:1000
IHC (Paraffin) : 1:50-1:100
Limitations This Recoverin antibody is available for research use only.
Review this product on BioCompare and get a $20 Amazon gift card

Related Products

  • Applications : WB, IHC-P, Direct ELISA
    Reactivity : Human

Description

Recoverin belongs to a high-affinity calcium-binding family that includes neuronal calcium sensor-1, visinin-like proteins (VILIPs), guanylate cyclase-activating proteins (GCAPs), and Kv-channel interacting proteins (KchIPs). Features common to this family include four calcium-binding EF-hand domains, and an N-terminal myristoylation sequence. This family of proteins has been implicated in a broad range of cellular signaling functions, including phototransduction and neurotransmitter release, lipid metabolism, gene expression, and ion channel regulation. Myristoylation, the post-translational addition of a fatty acid tail, has been shown to have functional significance for other calcium-binding protein family members. Recoverin is subject to the posttranslational modification of myristoylation. Binding of calcium to recoverin elicits a change in conformation that exposes the buried hydrophobic myristoyl moiety to interaction with cell membranes and other cellular proteins.

Application Notes

Titration of the Recoverin antibody may be required due to differences in protocols and secondary/substrate sensitivity.

Immunogen

A portion of amino acids 169-200 from the human protein was used as the immunogen for this Recoverin antibody.

Storage

Aliquot the Recoverin antibody and store frozen at -20oC or colder. Avoid repeated freeze-thaw cycles.

Cross
Bulk Quote Request Form
Name*:
Organization*:
Email*:
Phone Number*:
Catalog No.*:
Comments and Specifics(amount, formulation, etc.)*:
Validation code: Captchapackage Image


Can't read the image? click here to refresh.
    *required field

Your bulk quote request has been submitted successfully!

Please contact us if you have any questions.