• Tel: 858.663.9055
  • SeparatorEmail: info@nsjbio.com
  • Tel: 858.663.9055
  • Email: info@nsjbio.com
Home >> Antibodies >> Recombinant ZAP70 Antibody

Recombinant ZAP70 Antibody [clone ZAP70/3921R] (V8564)

  Catalog No Formulation Size Price (USD)  
Image V8564-100UG 0.2 mg/ml in 1X PBS with 0.1 mg/ml BSA (US sourced) and 0.05% sodium azide 100 ug 539
Image
V8564-20UG 0.2 mg/ml in 1X PBS with 0.1 mg/ml BSA (US sourced) and 0.05% sodium azide 20 ug 249
Image
V8564SAF-100UG 1 mg/ml in 1X PBS; BSA free, sodium azide free 100 ug 539
Microvalidated Recrabbitmono
Bulk quote request
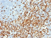
IHC staining of FFPE human tonsil with recombinant ZAP70 antibody. HIER: boil tissue sections in pH 9 10mM Tris with 1mM EDTA for 20 min and allow to cool before testing.
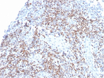
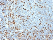
IHC staining of FFPE human lymphoma with recombinant ZAP70 antibody. HIER: boil tissue sections in pH 9 10mM Tris with 1mM EDTA for 20 min and allow to cool before testing.
IHC staining of FFPE human lymphoma with recombinant ZAP70 antibody. HIER: boil tissue sections in pH 9 10mM Tris with 1mM EDTA for 20 min and allow to cool before testing.
Availability 1-3 business days
Species Reactivity Human
Format Purified
Clonality Recombinant Rabbit Monoclonal
Isotype Rabbit IgG
Clone Name ZAP70/3921R
Purity Protein A affinity chromatography
UniProt P43403
Localization Cell surface, cytoplasmic
Applications ELISA : 2-4ug/ml for coating (order Ab without BSA)
Immunohistochemistry (FFPE) : 1-2ug/ml for 30 minutes at RT
Limitations This recombinant ZAP70 antibody is available for research use only.
Review this product on BioCompare and get a $20 Amazon gift card

Related Products

Description

ZAP70 is a 70kDa protein tyrosine kinase found in T-cells and natural killer cells. Control of this protein translation is via the IgVH gene.ZAP70 protein is expressed in leukemic cells of approximately 25% of chronic lymphocytic leukemia (CLL) cases as well. Anti-ZAP70 expression is an excellent surrogate marker for the distinction between the Ig-mutated (anti-ZAP70 negative) and Ig-unmutated (anti-ZAP70 positive) CLL subtypes and can identify patient groups with divergent clinical courses. The anti-ZAP70 positive Ig-unmutated CLL cases have been shown to have a poorer prognosis.

Application Notes

Optimal dilution of the recombinant ZAP70 antibody should be determined by the researcher.

Immunogen

A portion of amino acids 247-382 from the human protein was used as the immunogen for the recombinant ZAP70 antibody.

Storage

Store the recombinant ZAP70 antibody at 2-8oC (with azide) or aliquot and store at -20oC or colder (without azide).

Cross
Bulk Quote Request Form
Name*:
Organization*:
Email*:
Phone Number*:
Catalog No.*:
Comments and Specifics(amount, formulation, etc.)*:
Validation code: Captchapackage Image


Can't read the image? click here to refresh.
    *required field

Your bulk quote request has been submitted successfully!

Please contact us if you have any questions.