- Tel: 858.663.9055
- 
									 Email: info@nsjbio.com Email: info@nsjbio.com
- Tel: 858.663.9055
- Email: info@nsjbio.com
 Email: info@nsjbio.com
Email: info@nsjbio.com
								Related Products
| 
 | 
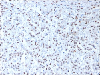
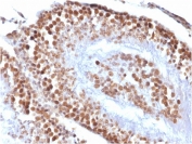
Recombinant WT1 antibody is designed to detect Wilms tumor 1 protein, a zinc finger transcription factor encoded by the WT1 gene. WT1 was first identified as a tumor suppressor in Wilms tumor, a pediatric kidney cancer, but it is now recognized as a multifunctional protein with roles in development, transcriptional regulation, and disease. WT1 expression is essential during embryogenesis for kidney, gonad, and spleen formation. It continues to function in adult tissues, particularly in podocytes of the kidney glomerulus.
WT1 acts as a transcriptional regulator that can activate or repress target genes depending on context. Its zinc finger domains bind to DNA sequences, while alternative splicing and post translational modifications expand its functional diversity. Dysregulation of WT1 has been implicated in various cancers, including leukemias and solid tumors, where it may act as either a tumor suppressor or an oncogene depending on cellular context.
The Recombinant WT1 antibody clone rWT1/857 provides reliable and specific detection of this transcription factor. Recombinant production ensures reproducibility and eliminates lot to lot variation. Clone rWT1/857 has been applied in cancer biology to investigate WT1 expression in leukemias and kidney tumors, as well as in developmental biology to explore its roles in organogenesis. Its nuclear localization pattern supports precise detection in tissues.
Research using clone rWT1/857 has clarified how WT1 regulates gene networks that control cell proliferation, differentiation, and survival. Elevated expression of WT1 is associated with poor prognosis in certain cancers, while germline mutations contribute to syndromes affecting urogenital development. The antibody continues to support translational research aimed at using WT1 as a biomarker and therapeutic target.
NSJ Bioreagents supplies this Recombinant WT1 antibody to advance studies in developmental biology, oncology, and transcriptional regulation. The protein is also described as Wilms tumor protein 1 antibody, zinc finger protein WT1 antibody, transcription factor WT1 antibody, and nephroblastoma associated gene antibody, illustrating the diverse nomenclature associated with this target.
Optimal dilution of the recombinant WT1 antibody should be determined by the researcher.
1. The prediluted format is supplied in a dropper bottle and is optimized for use in IHC. After epitope retrieval step (if required), drip mAb solution onto the tissue section and incubate at RT for 30 min.
2. This is the recombinant version of clone WT1/857.
A recombinant human protein was used as the immunogen for the recombinant WT1 antibody.
Store the recombinant WT1 antibody at 2-8oC (with azide) or aliquot and store at -20oC or colder (without azide).
 
Your bulk quote request has been submitted successfully!
Please contact us if you have any questions.