• Tel: 858.663.9055
  • SeparatorEmail: info@nsjbio.com
  • Tel: 858.663.9055
  • Email: info@nsjbio.com
Home >> Antibodies >> Recombinant VIM Antibody / Vimentin

Recombinant VIM Antibody / Vimentin [clone rVIM/6431] (V9292)

  Catalog No Formulation Size Price (USD)  
Image V9292-100UG 0.2 mg/ml in 1X PBS with 0.1 mg/ml BSA (US sourced), 0.05% sodium azide 100 ug 539
Image
V9292-20UG 0.2 mg/ml in 1X PBS with 0.1 mg/ml BSA (US sourced), 0.05% sodium azide 20 ug 249
Image
V9292SAF-100UG 1 mg/ml in 1X PBS; BSA free, sodium azide free 100 ug 539
Microvalidated Recmousemono
Bulk quote request
IHC staining of FFPE human colon tissue with recombinant VIM antibody (clone rVIM/6431). HIER: boil tissue sections in pH 9 10mM Tris with 1mM EDTA for 20 min and allow to cool before testing.
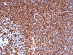
IHC staining of FFPE human tonsil tissue with recombinant VIM antibody (clone rVIM/6431). HIER: boil tissue sections in pH 9 10mM Tris with 1mM EDTA for 20 min and allow to cool before testing.
Western blot testing of human U-87 MG cell lysate using recombinant VIM antibody (clone rVIM/6431). Predicted molecular weight ~53 kDa.
Availability 1-3 business days
Species Reactivity Human (broad species reactivity predicted)
Format Purified
Clonality Recombinant Mouse Monoclonal
Isotype Mouse IgG1, kappa
Clone Name rVIM/6431
Purity Protein A/G affinity
UniProt P08670
Localization Cytoplasmic
Applications Western Blot : 1-2ug/ml
Immunohistochemistry (FFPE) : 1-2ug/ml
Limitations This recombinant VIM antibody is available for research use only.
Review this product on BioCompare and get a $20 Amazon gift card

Related Products

  • Applications : WB, IHC
    Reactivity : Human
    Recrabbitmono
  • Applications : FACS, WB, IHC-P
    Reactivity : Human
    Microvalidated
  • Applications : FACS
    Reactivity : Human
    Microvalidated
  • Applications : WB, IHC-P, IF
    Reactivity : Human, Rabbit, Pig, Rat
  • Applications : IHC-P
    Reactivity : Human, Mouse, Rat
    Citation  Citations(11)
  • Applications : WB, IHC-P
    Reactivity : Human
    Citation  Citations(1)
  • Applications : WB, IHC-P
    Reactivity : Human
  • Applications : WB, IHC-P
    Reactivity : Human
  • Applications : WB, ICC/IF, IP
    Reactivity : Human
  • Applications : IHC-P, WB, IF
    Reactivity : Human
    Rab Mono Image
  • Applications : WB, IHC-P
    Reactivity : Human
  • Applications : WB, IHC-P, IF
    Reactivity : Human, Mouse, Rat
  • Applications : IF, WB, IHC, ELISA
    Reactivity : Human, Mouse
    Pred. Reactivity : Bovine, Hamster, Primate, Rat
  • Applications : IF, WB, IHC, FACS, ELISA
    Reactivity : Human
    Pred. Reactivity : Bovine, Chicken, Hamster, Mouse, Pig, Primate, Rat, Xenopus
  • Applications : WB, IHC, FACS, ELISA
    Reactivity : Human
    Pred. Reactivity : Mouse, Rat, Bovine, Pig, Hamster
  • Applications : IF, WB, IHC, FACS, ELISA
    Reactivity : Human
  • Applications : WB, ELISA (peptide)
    Reactivity : Human, Mouse, Rat
    Pred. Reactivity : Dog, Pig, Cow

Description

Anti-vimentin alone is of limited value as a diagnostic tool; however, when used in panels with other antibodies, it is useful for the sub-classification of a given tumor. Expression of vimentin, when used in conjunction with anti-keratin, is helpful when distinguishing melanomas from undifferentiated carcinomas and large cell lymphomas. All melanomas and Schwannomas react strongly with anti-vimentin. It labels a variety of mesenchymal cells, including melanocytes, lymphocytes, endothelial cells, and fibroblasts. Non-reactivity of anti-vimentin is often considered more useful than its positive reactivity, since there are a few tumors that do not contain vimentin, e.g. hepatoma and seminoma. Anti-vimentin is also useful as a tissue process control reagent.

Application Notes

Optimal dilution of the recombinant VIM antibody should be determined by the researcher.

Immunogen

A portion of amino acids 2-466 from the human protein was used as the immunogen for the recombinant VIM antibody.

Storage

Aliquot the recombinant VIM antibody and store frozen at -20oC or colder. Avoid repeated freeze-thaw cycles.

Cross
Bulk Quote Request Form
Name*:
Organization*:
Email*:
Phone Number*:
Catalog No.*:
Comments and Specifics(amount, formulation, etc.)*:
Validation code: Captchapackage Image


Can't read the image? click here to refresh.
    *required field

Your bulk quote request has been submitted successfully!

Please contact us if you have any questions.