• Tel: 858.663.9055
  • SeparatorEmail: info@nsjbio.com
  • Tel: 858.663.9055
  • Email: info@nsjbio.com
Home >> Antibodies >> Recombinant VEGI Antibody / TL1A / TNFSF15

Recombinant VEGI Antibody / TL1A / TNFSF15 [clone TLRM1-2R] (V3785)

  Catalog No Formulation Size Price (USD)  
Image V3785-100UG 0.2 mg/ml in 1X PBS with 0.1 mg/ml BSA (US sourced) and 0.05% sodium azide 100 ug 539
Image
V3785-20UG 0.2 mg/ml in 1X PBS with 0.1 mg/ml BSA (US sourced) and 0.05% sodium azide 20 ug 249
Image
V3785SAF-100UG 1 mg/ml in 1X PBS; BSA free, sodium azide free 100 ug 539
Image
V3785IHC-7ML Prediluted in 1X PBS with 0.1 mg/ml BSA (US sourced) and 0.05% sodium azide; *For IHC use only* 7 ml 539
Microvalidated Recrabbitmono
Bulk quote request
IHC staining of FFPE human spleen with recombinant TNFSF15 antibody (clone TLRM1-2R). Required HIER: boil sections in 10mM Tris with 1mM EDTA, pH9, for 10-20 min followed by cooling at RT for 20 min.
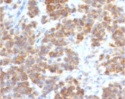
IHC staining of FFPE human parathyroid mass with recombinant VEGI antibody (clone TLRM1-2R). Required HIER: boil sections in 10mM Tris with 1mM EDTA, pH9, for 10-20 min followed by cooling at RT for 20 min.
Species Reactivity Human
Format Purified
Clonality Recombinant Rabbit Monoclonal
Isotype Rabbit IgG, kappa
Clone Name TLRM1-2R
Purity Protein A affinity chromatography
UniProt O95150
Localization Cytoplasmic, cell surface, secreted
Applications Immunohistochemistry (FFPE) : 1-2ug/ml
Prediluted IHC Only Format : incubate for 30 min at RT (1)
Limitations This recombinant VEGI antibody is available for research use only.
Review this product on BioCompare and get a $20 Amazon gift card

Related Products

Description

Vascular endothelial growth inhibitor (VEGI), also known as TNF-like ligand 1A (TL1A) and TNF superfamily member 15 (TNFSF15), is a protein that in humans is encoded by the TNFSF15 gene. TL1A/VEGI is an anti-angiogenic protein. It belongs to tumor necrosis factor (ligand) superfamily, where it is member 15. It is the sole known ligand for death receptor 3, and it can also be recognized by decoy receptor 3.

TL1A/VEGI is abundantly expressed in endothelial cells, but is not expressed in either B or T cells. The expression of this protein is inducible by TNF-alpha and IL-1 alpha. This cytokine is a ligand for receptor TNFRSF25 (death receptor 3) and TNFRSF6B (decoy receptor 3). It can activate both the NF-kB and MAPK signalling pathways, and acts as an autocrine factor to induce apoptosis in endothelial cells. This cytokine is also found to inhibit endothelial cell proliferation, and thus may function as an angiogenesis inhibitor. [Wiki]

Application Notes

The stated application concentrations are suggested starting points. Titration of the recombinant VEGI antibody may be required due to differences in protocols and secondary/substrate sensitivity.

1. The prediluted format is supplied in a dropper bottle and is optimized for use in IHC. After epitope retrieval step (if required), drip mAb solution onto the tissue section and incubate at RT for 30 min.

Immunogen

A full length human recombinant protein was used as the immunogen for this recombinant VEGI antibody.

Storage

Store the recombinant VEGI antibody at 2-8oC (with azide) or aliquot and store at -20oC or colder (without azide).

Cross
Bulk Quote Request Form
Name*:
Organization*:
Email*:
Phone Number*:
Catalog No.*:
Comments and Specifics(amount, formulation, etc.)*:
Validation code: Captchapackage Image


Can't read the image? click here to refresh.
    *required field

Your bulk quote request has been submitted successfully!

Please contact us if you have any questions.