• Tel: 858.663.9055
  • SeparatorEmail: info@nsjbio.com
  • Tel: 858.663.9055
  • Email: info@nsjbio.com
Home >> Antibodies >> Recombinant Uroplakin 1B Antibody / UPK1B

Recombinant Uroplakin 1B Antibody / UPK1B [clone UPK1B/9258R] (V5386)

  Catalog No Formulation Size Price (USD)  
Image V5386-100UG 0.2 mg/ml in 1X PBS with 0.1 mg/ml BSA (US sourced), 0.05% sodium azide 100 ug 539
Image
V5386-20UG 0.2 mg/ml in 1X PBS with 0.1 mg/ml BSA (US sourced), 0.05% sodium azide 20 ug 249
Image
V5386SAF-100UG 1 mg/ml in 1X PBS; BSA free, sodium azide free 100 ug 539
Microvalidated Recrabbitmono
Bulk quote request
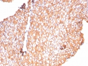
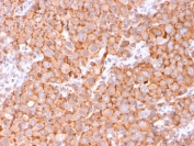
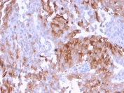
IHC staining of FFPE human bladder carcinoma tissue with recombinant Uroplakin 1B antibody (clone UPK1B/9258R). Inset: PBS used in place of primary Ab (secondary Ab negative control). HIER: boil tissue sections in pH 9 10mM Tris with 1mM EDTA for 20 min and allow to cool before testing.
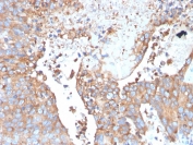
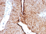
IHC staining of FFPE human bladder carcinoma tissue with recombinant Uroplakin 1B antibody (clone UPK1B/9258R). HIER: boil tissue sections in pH 9 10mM Tris with 1mM EDTA for 20 min and allow to cool before testing.
Availability 1-3 business days
Species Reactivity Human
Format Purified
Clonality Recombinant Rabbit Monoclonal
Isotype Rabbit IgG, kappa
Clone Name UPK1B/9258R
Purity Protein A/G affinity
UniProt O75841
Localization Membrane
Applications Immunohistochemistry (FFPE) : 1-2ug/ml
Limitations This recombinant Uroplakin 1B antibody is available for research use only.
Review this product on BioCompare and get a $20 Amazon gift card

Related Products

Description

The protein encoded by this gene is a member of the transmembrane 4 superfamily, also known as the tetraspanin family. Most of these members are cell-surface proteins that are characterized by the presence of four hydrophobic domains. The proteins mediate signal transduction events that play a role in the regulation of cell development, activation, growth and motility. This encoded protein is found in the asymmetrical unit membrane (AUM) where it can form a complex with other transmembrane 4 superfamily proteins. It may play a role in normal bladder epithelial physiology, possibly in regulating membrane permeability of superficial umbrella cells or in stabilizing the apical membrane through AUM/cytoskeletal interactions.UPK1B is expressed by terminally differentiated urothelial cells.

Application Notes

Optimal dilution of the recombinant Uroplakin 1B antibody should be determined by the researcher.

Immunogen

A recombinant fragment (within amino acids 109-229) of human Uroplakin 1B/UPK1B protein was used as the immunogen for the recombinant Uroplakin 1B antibody.

Storage

Aliquot the recombinant Uroplakin 1B antibody and store frozen at -20oC or colder. Avoid repeated freeze-thaw cycles.

Cross
Bulk Quote Request Form
Name*:
Organization*:
Email*:
Phone Number*:
Catalog No.*:
Comments and Specifics(amount, formulation, etc.)*:
Validation code: Captchapackage Image


Can't read the image? click here to refresh.
    *required field

Your bulk quote request has been submitted successfully!

Please contact us if you have any questions.