• Tel: 858.663.9055
  • SeparatorEmail: info@nsjbio.com
  • Tel: 858.663.9055
  • Email: info@nsjbio.com
Home >> Antibodies >> Recombinant Ubiquitin Antibody

Recombinant Ubiquitin Antibody [clone rUBB/9476] (V5804)

  Catalog No Formulation Size Price (USD)  
Image V5804-100UG 0.2 mg/ml in 1X PBS with 0.1 mg/ml BSA (US sourced), 0.05% sodium azide 100 ug 539
Image
V5804-20UG 0.2 mg/ml in 1X PBS with 0.1 mg/ml BSA (US sourced), 0.05% sodium azide 20 ug 249
Image
V5804SAF-100UG 1 mg/ml in 1X PBS; BSA free, sodium azide free 100 ug 539
Microvalidated Recmousemono
Bulk quote request
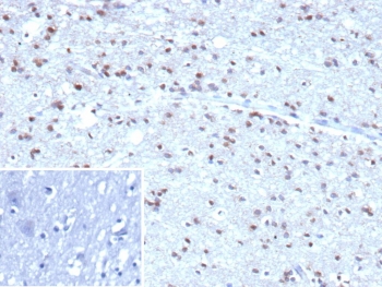
IHC staining of FFPE human brain tissue with recombinant Ubiquitin antibody (clone rUBB/9476). Inset: PBS used in place of primary Ab (secondary Ab negative control). HIER: boil tissue sections in pH 9 10mM Tris with 1mM EDTA for 20 min and allow to cool before testing.
Western blot testing of human Raji tissue lysate with recombinant Ubiquitin antibody (clone rUBB/9476).
Availability 1-3 business days
Species Reactivity Human
Format Purified
Clonality Recombinant Mouse Monoclonal
Isotype Mouse IgG2b, kappa
Clone Name rUBB/9476
Purity Protein G affinity
UniProt P62979 , P62987
Localization Cell membrane, cytoplasmic, nuclear
Applications Immunohistochemistry (FFPE) : 1-2ug/ml
Western Blot : 2-4ug/ml
Limitations This recombinant Ubiquitin antibody is available for research use only.
Review this product on BioCompare and get a $20 Amazon gift card

Related Products

  • Applications : IHC-P, WB
    Reactivity : Human
    Recrabbitmono
  • Applications : FACS, WB, IF, IHC-P
    Reactivity : Human
    Microvalidated
  • Applications : ELISA, WB, IHC-P
    Reactivity : Human
    Microvalidated
  • Applications : IHC-P, WB
    Reactivity : Human
  • Applications : IHC-P, WB
    Reactivity : Human
    Rab Mono Image
  • Applications : WB
    Reactivity : Human
    Rab Mono Image
  • Applications : WB, IHC-P
    Reactivity : Human, Mouse, Rat
  • Applications : WB, IHC-P
    Reactivity : Human, Mouse, Rat
  • Applications : WB, IHC-P
    Reactivity : Human, Mouse, Rat
  • Applications : IF, WB, IHC, ELISA
    Reactivity : Human
    Pred. Reactivity : Bovine, C. elegans, Chicken, Drosophila, Mouse, Pig, Primate, Rat, Yeast
  • Applications : WB, ELISA
    Reactivity : Human, Mouse, Rat
    Pred. Reactivity : Bovine, C. elegans, Chicken, Drosophila, Hamster, Pig, Primate, Rabbit, Xenopus

Description

Ubiquitin is a highly conserved and plays an essential role in the ubiquitin-proteasome pathway. In ubiquitination process, it is first activated by forming a thiol-ester complex with the activation component E1, which is then transferred to ubiquitin-carrier protein E2, followed by to ubiquitin ligase E3 for final delivery to epsilon-NH2 of the target protein lysine residue. IkB, p53, cdc25A, Bcl-2 etc. are shown as targets of ubiquitin-proteasome process as part of regulation of cell cycle progression, differentiation, cell stress response, and apoptosis. Moreover, ubiquitin have been reported to bind covalently with pathological inclusions which are resistant to degradation e.g. neurofibrillary tangles/paired helical filaments in Alzheimer's disease, Lewy bodies seen in Parkinson's disease, and Pick bodies found in Pick's disease etc.

Application Notes

Optimal dilution of the recombinant Ubiquitin antibody should be determined by the researcher.

Immunogen

A recombinant partial protein from human Ubiquitin protein (within amino acids 1-119) was used as the immunogen for the recombinant Ubiquitin antibody.

Storage

Aliquot the recombinant Ubiquitin antibody and store frozen at -20oC or colder. Avoid repeated freeze-thaw cycles.

Cross
Bulk Quote Request Form
Name*:
Organization*:
Email*:
Phone Number*:
Catalog No.*:
Comments and Specifics(amount, formulation, etc.)*:
Validation code: Captchapackage Image


Can't read the image? click here to refresh.
    *required field

Your bulk quote request has been submitted successfully!

Please contact us if you have any questions.