• Tel: 858.663.9055
  • SeparatorEmail: info@nsjbio.com
  • Tel: 858.663.9055
  • Email: info@nsjbio.com
Home >> Antibodies >> Recombinant Tyrosinase Antibody / Rabbit Monoclonal

Recombinant Tyrosinase Antibody / Rabbit Monoclonal [clone TRSN1-2R] (V3759)

  Catalog No Formulation Size Price (USD)  
Image V3759-100UG 0.2 mg/ml in 1X PBS with 0.1 mg/ml BSA (US sourced) and 0.05% sodium azide 100 ug 539
Image
V3759-20UG 0.2 mg/ml in 1X PBS with 0.1 mg/ml BSA (US sourced) and 0.05% sodium azide 20 ug 249
Image
V3759SAF-100UG 1 mg/ml in 1X PBS; BSA free, sodium azide free 100 ug 539
Image
V3759IHC-7ML Prediluted in 1X PBS with 0.1 mg/ml BSA (US sourced) and 0.05% sodium azide; *For IHC use only* 7 ml 539
Microvalidated Recrabbitmono
Bulk quote request
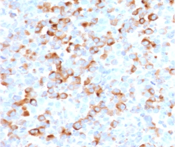
IHC staining of FFPE human melanoma with recombinant Tyrosinase antibody (clone TRSN1-2R). Required HIER: boil tissue sections in 10mM Tris with 1mM EDTA, pH9, or 10mM citrate buffer, pH6, for 10-20 min followed by cooling at RT for 20 min.
Availability 1-3 business days
Species Reactivity Human. Other species not known.
Format Purified
Clonality Recombinant Rabbit Monoclonal
Isotype Rabbit IgG, kappa
Clone Name TRSN1-2R
Purity Protein A affinity chromatography
UniProt P14679
Localization Cytoplasmic
Applications Immunohistochemistry (FFPE) : 1-2ug/ml for 30 min at RT
Prediluted IHC Only Format : incubate for 30 min at RT (1)
Limitations This recombinant Tyrosinase antibody is available for research use only.
Review this product on BioCompare and get a $20 Amazon gift card

Related Products

Description

Tyrosinase is an oxidase that is the rate-limiting enzyme for controlling the production of melanin. It is mainly involved in two distinct reactions of melanin synthesis; firstly, the hydroxylation of a monophenol and secondly, the conversion of an o-diphenol to the corresponding o-quinone. o-Quinone undergoes several reactions to eventually form melanin. Tyrosinase is a copper-containing enzyme present in plant and animal tissues that catalyzes the production of melanin and other pigments from tyrosine by oxidation, as in the blackening of a peeled or sliced potato exposed to air. It is found inside melanosomes which are synthesised in the skin melanocytes. In humans, the tyrosinase enzyme is encoded by the TYR gene. [Wiki]

Application Notes

Optimal dilution of the recombinant Tyrosinase antibody should be determined by the researcher.

1. The prediluted format is supplied in a dropper bottle and is optimized for use in IHC. After epitope retrieval step (if required), drip mAb solution onto the tissue section and incubate at RT for 30 min.

Immunogen

Recombinant protein was used as the immunogen for this recombinant Tyrosinase antibody.

Storage

Store the recombinant Tyrosinase antibody at 2-8oC (with azide) or aliquot and store at -20oC or colder (without azide).

Cross
Bulk Quote Request Form
Name*:
Organization*:
Email*:
Phone Number*:
Catalog No.*:
Comments and Specifics(amount, formulation, etc.)*:
Validation code: Captchapackage Image


Can't read the image? click here to refresh.
    *required field

Your bulk quote request has been submitted successfully!

Please contact us if you have any questions.