• Tel: 858.663.9055
  • SeparatorEmail: info@nsjbio.com
  • Tel: 858.663.9055
  • Email: info@nsjbio.com
Home >> Antibodies >> Recombinant Type II Cytokeratin Antibody (CK1-8)

Recombinant Type II Cytokeratin Antibody (CK1-8) [clone KRTH/4392R] (V8657)

  Catalog No Formulation Size Price (USD)  
Image V8657-100UG 0.2 mg/ml in 1X PBS with 0.1 mg/ml BSA (US sourced) and 0.05% sodium azide 100 ug 539
Image
V8657-20UG 0.2 mg/ml in 1X PBS with 0.1 mg/ml BSA (US sourced) and 0.05% sodium azide 20 ug 249
Image
V8657SAF-100UG 1 mg/ml in 1X PBS; BSA free, sodium azide free 100 ug 539
Microvalidated Recrabbitmono
Bulk quote request
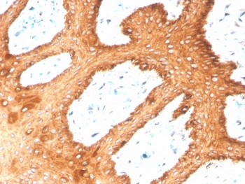
IHC staining of FFPE human skin with recombinant Type II Cytokeratin antibody (clone KRTH/4392R). HIER: boil tissue sections in pH 9 10mM Tris with 1mM EDTA for 20 min and allow to cool before testing.
Availability 1-3 business days
Species Reactivity Human
Format Purified
Clonality Recombinant Rabbit Monoclonal
Isotype Rabbit IgG
Clone Name KRTH/4392R
Purity Protein A affinity chromatography
UniProt Q01546
Localization Cytoplasmic
Applications Immunohistochemistry (FFPE) : 1-2ug/ml for 30 minutes at RT
Limitations This recombinant Type II Cytokeratin antibody is available for research use only.
Review this product on BioCompare and get a $20 Amazon gift card

Description

The keratins are the typical intermediate filament proteins of epithelia, showing an outstanding degree of molecular diversity. Heteropolymeric filaments are formed by pairing of type I and type II molecules. In humans 54 functional keratin genes exist. They are expressed in highly specific patterns related to the epithelial type and stage of cellular differentiation. This antibody can detect high molecular weight CK1, CK2, CK3, CK4, CK5, CK6, CK7 and CK8. It is usually used in a cytokeratin cocktail with type I cytokeratins antibody.

Application Notes

Optimal dilution of the recombinant Type II Cytokeratin antibody should be determined by the researcher.

Immunogen

A portion of amino acids 300-400 from Type II Cytokeratins was used as the immunogen for the recombinant Type II Cytokeratin antibody.

Storage

Store the recombinant Type II Cytokeratin antibody at 2-8oC (with azide) or aliquot and store at -20oC or colder (without azide).

Cross
Bulk Quote Request Form
Name*:
Organization*:
Email*:
Phone Number*:
Catalog No.*:
Comments and Specifics(amount, formulation, etc.)*:
Validation code: Captchapackage Image


Can't read the image? click here to refresh.
    *required field

Your bulk quote request has been submitted successfully!

Please contact us if you have any questions.