• Tel: 858.663.9055
  • SeparatorEmail: info@nsjbio.com
  • Tel: 858.663.9055
  • Email: info@nsjbio.com
Home >> Antibodies >> Recombinant Type I Cytokeratin Antibody (CK10/14/15/16/19)

Recombinant Type I Cytokeratin Antibody (CK10/14/15/16/19) [clone KRTL/4440R] (V8658)

  Catalog No Formulation Size Price (USD)  
Image V8658-100UG 0.2 mg/ml in 1X PBS with 0.1 mg/ml BSA (US sourced) and 0.05% sodium azide 100 ug 539
Image
V8658-20UG 0.2 mg/ml in 1X PBS with 0.1 mg/ml BSA (US sourced) and 0.05% sodium azide 20 ug 249
Image
V8658SAF-100UG 1 mg/ml in 1X PBS; BSA free, sodium azide free 100 ug 539
Microvalidated Recrabbitmono
Bulk quote request
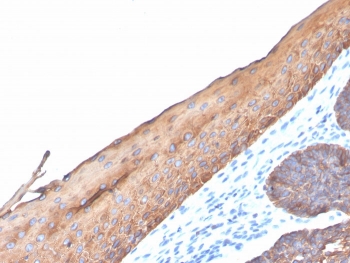
IHC staining of FFPE human colon carcinoma with recombinant Type I Cytokeratin antibody (clone KRTH/4440R). HIER: boil tissue sections in pH 9 10mM Tris with 1mM EDTA for 20 min and allow to cool before testing.
IHC staining of FFPE human colon carcinoma with recombinant Type I Cytokeratin antibody (clone KRTH/4440R). HIER: boil tissue sections in pH 9 10mM Tris with 1mM EDTA for 20 min and allow to cool before testing.
Availability 1-3 business days
Species Reactivity Human
Format Purified
Clonality Recombinant Rabbit Monoclonal
Isotype Rabbit IgG, kappa
Clone Name KRTL/4440R
Purity Protein A affinity chromatography
UniProt Q7Z794
Localization Cytoplasmic
Applications Immunohistochemistry (FFPE) : 1-2ug/ml for 30 minutes at RT
Limitations This recombinant Type I Cytokeratin antibody is available for research use only.
Review this product on BioCompare and get a $20 Amazon gift card

Related Products

Description

The keratins are the typical intermediate filament proteins of epithelia, showing an outstanding degree of molecular diversity. Heteropolymeric filaments are formed by pairing of type I and type II molecules. In humans 54 functional keratin genes exist. They are expressed in highly specific patterns related to the epithelial type and stage of cellular differentiation. This antibody can detect high molecular weight CK10, CK14, CK15 and CK16 and low molecular weight CK19. It usually used in a cytokeratin cocktail with type II cytokeratin antibody.

Application Notes

Optimal dilution of the recombinant Type I Cytokeratin antibody should be determined by the researcher.

Immunogen

A portion of amino acids 100-200 from Type I Cytokeratins was used as the immunogen for the recombinant Type I Cytokeratin antibody.

Storage

Store the recombinant Type I Cytokeratin antibody at 2-8oC (with azide) or aliquot and store at -20oC or colder (without azide).

Cross
Bulk Quote Request Form
Name*:
Organization*:
Email*:
Phone Number*:
Catalog No.*:
Comments and Specifics(amount, formulation, etc.)*:
Validation code: Captchapackage Image


Can't read the image? click here to refresh.
    *required field

Your bulk quote request has been submitted successfully!

Please contact us if you have any questions.