• Tel: 858.663.9055
  • SeparatorEmail: info@nsjbio.com
  • Tel: 858.663.9055
  • Email: info@nsjbio.com
Home >> Antibodies >> Recombinant TSH beta Antibody / TSHB

Recombinant TSH beta Antibody / TSHB [clone TSHb/7001R] (V9427)

  Catalog No Formulation Size Price (USD)  
Image V9427-100UG 0.2 mg/ml in 1X PBS with 0.1 mg/ml BSA (US sourced), 0.05% sodium azide 100 ug 539
Image
V9427-20UG 0.2 mg/ml in 1X PBS with 0.1 mg/ml BSA (US sourced), 0.05% sodium azide 20 ug 249
Image
V9427SAF-100UG 1 mg/ml in 1X PBS; BSA free, sodium azide free 100 ug 539
Microvalidated Recrabbitmono
Bulk quote request
SDS-PAGE analysis of purified, BSA-free recombinant TSH beta antibody (clone TSHb/7001R) as confirmation of integrity and purity.
Availability 1-3 business days
Species Reactivity Human
Format Purified
Clonality Recombinant Rabbit Monoclonal
Isotype Rabbit IgG1, kappa
Clone Name TSHb/7001R
Purity Protein A/G affinity
UniProt P01222
Localization Cytoplasmic
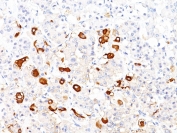
Applications Immunohistochemistry (FFPE) : 1-2ug/ml
Limitations This recombinant TSH beta antibody is available for research use only.
Review this product on BioCompare and get a $20 Amazon gift card

Related Products

Description

The four human glycoprotein hormones chorionic gonadotropin (CG), luteinizing hormone (LH), follicle stimulating hormone (FSH), and thyroid stimulating hormone (TSH) are dimers consisting of alpha and beta subunits that are associated non-covalently. The alpha subunits of these hormones are identical; however, their beta chains are unique and confer biological specificity. TSH is synthesized and secreted by thyrotrope cells in the anterior pituitary gland which regulates the endocrine function of the thyroid gland. TSH stimulates the thyroid gland to secrete the hormones thyroxine (T4) and triiodothyronine (T3). TSH production is controlled by a Thyrotropin-Releasing Hormone (TRH), which is manufactured in the hypothalamus and transported to the pituitary gland, where it increases TSH production and release. Somatostatin is also produced by the hypothalamus and has an opposite effect on the pituitary production of TSH, decreasing or inhibiting its release. TSH is a useful marker in classification of pituitary tumors and the study of pituitary disease.

Application Notes

Optimal dilution of the recombinant TSH beta antibody should be determined by the researcher.

Immunogen

A recombinant human TSH beta protein fragment was used as the immunogen for the recombinant TSH beta antibody.

Storage

Aliquot the recombinant TSH beta antibody and store frozen at -20oC or colder. Avoid repeated freeze-thaw cycles.

Cross
Bulk Quote Request Form
Name*:
Organization*:
Email*:
Phone Number*:
Catalog No.*:
Comments and Specifics(amount, formulation, etc.)*:
Validation code: Captchapackage Image


Can't read the image? click here to refresh.
    *required field

Your bulk quote request has been submitted successfully!

Please contact us if you have any questions.