• Tel: 858.663.9055
  • SeparatorEmail: info@nsjbio.com
  • Tel: 858.663.9055
  • Email: info@nsjbio.com
Home >> Antibodies >> Recombinant Transglutaminase 2 Antibody (FN Binding Domain)

Recombinant Transglutaminase 2 Antibody (FN Binding Domain) [clone TGM2/6943R] (V9596)

  Catalog No Formulation Size Price (USD)  
Image V9596-100UG 0.2 mg/ml in 1X PBS with 0.1 mg/ml BSA (US sourced), 0.05% sodium azide 100 ug 539
Image
V9596-20UG 0.2 mg/ml in 1X PBS with 0.1 mg/ml BSA (US sourced), 0.05% sodium azide 20 ug 249
Image
V9596SAF-100UG 1 mg/ml in 1X PBS; BSA free, sodium azide free 100 ug 539
Microvalidated Recrabbitmono
Bulk quote request
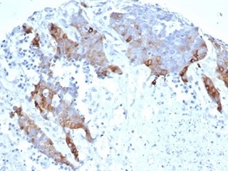
IHC staining of FFPE human ovarian carcinoma tissue with recombinant Transglutaminase 2 antibody (clone TGM2/6943R). HIER: boil tissue sections in pH 9 10mM Tris with 1mM EDTA for 20 min and allow to cool before testing.
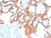
IHC staining of FFPE human placental tissue with recombinant Transglutaminase 2 antibody (clone TGM2/6943R). Negative control inset: PBS instead of primary antibody to control for secondary binding. HIER: boil tissue sections in pH 9 10mM Tris with 1mM EDTA for 20 min and allow to cool before testing.
Availability 1-3 business days
Species Reactivity Human
Format Purified
Clonality Recombinant Rabbit Monoclonal
Isotype Rabbit IgG, kappa
Clone Name TGM2/6943R
Purity Protein A/G affinity
UniProt P21980
Localization Cytoplasm, Cell surface
Applications Immunohistochemistry (FFPE) : 1-2ug/ml
Western Blot : 1-2ug/ml
Flow Cytometry : 1-2ug/million cells
Limitations This recombinant Transglutaminase 2 antibody is available for research use only.
Review this product on BioCompare and get a $20 Amazon gift card

Related Products

Description

Tissue transglutaminase (tTG) is a 75 kDa monomeric globular protein expressed in the majority of cells and tissues. tTG localizes mainly in the cytoplasm but some tGT is present on the cell surface and is association with the extracellular matrix. In addition to its guanosine triphosphatase (GTPase) activity, tTG catalyzes the posttranslational modification of proteins by transamidation of available glutamine residues. Extracellular tTG is able to bind to and cross-link several ECM proteins including FN/Fibronectin and SPP1, and may function to stabilize the ECM and basement membranes. The protein is translated as a fully active enzyme and there is no evidence for proteolytic activation. High constitutive expression and accumulation of active tTG is observed in (among others) endothelial cells, platelets, vascular smooth muscle cells and epithelial cells of the lens. tTG is expressed at very low levels in skeletal muscle cells and neurons and may be difficult to detect in these cell/tissue types.

Application Notes

Optimal dilution of the recombinant Transglutaminase 2 antibody should be determined by the researcher.

Immunogen

Recombinant full-length human protein was used as the immunogen for the recombinant Transglutaminase 2 antibody.

Storage

Aliquot the recombinant Transglutaminase 2 antibody and store frozen at -20oC or colder. Avoid repeated freeze-thaw cycles.

Cross
Bulk Quote Request Form
Name*:
Organization*:
Email*:
Phone Number*:
Catalog No.*:
Comments and Specifics(amount, formulation, etc.)*:
Validation code: Captchapackage Image


Can't read the image? click here to refresh.
    *required field

Your bulk quote request has been submitted successfully!

Please contact us if you have any questions.