• Tel: 858.663.9055
  • SeparatorEmail: info@nsjbio.com
  • Tel: 858.663.9055
  • Email: info@nsjbio.com
Home >> Antibodies >> Recombinant Transgelin Antibody / SM22 alpha

Recombinant Transgelin Antibody / SM22 alpha [clone rTAGLN/8975] (V4206)

  Catalog No Formulation Size Price (USD)  
Image V4206-100UG 0.2 mg/ml in 1X PBS with 0.1 mg/ml BSA (US sourced), 0.05% sodium azide 100 ug 539
Image
V4206-20UG 0.2 mg/ml in 1X PBS with 0.1 mg/ml BSA (US sourced), 0.05% sodium azide 20 ug 249
Image
V4206SAF-100UG 1 mg/ml in 1X PBS; BSA free, sodium azide free 100 ug 539
Microvalidated Recmousemono
Bulk quote request
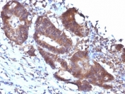
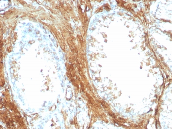
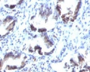
IHC staining of FFPE human prostate carcinoma tissue with recombinant Transgelin antibody (clone rTAGLN/8975). HIER: boil tissue sections in pH 9 10mM Tris with 1mM EDTA for 20 min and allow to cool before testing.
Availability 1-3 business days
Species Reactivity Human
Format Purified
Clonality Recombinant Mouse Monoclonal
Isotype Mouse IgG2b, kappa
Clone Name rTAGLN/8975
Purity Protein A/G affinity
UniProt Q01995
Localization Cytoplasm
Applications Immunohistochemistry (FFPE) : 0.5-1ug/ml
Limitations This recombinant Transgelin antibody is available for research use only.
Review this product on BioCompare and get a $20 Amazon gift card

Related Products

Description

This mAb recognizes a 22kDa protein, identified as Transgelin, also designated SM22-alpha. It may cross-react with SM22-beta. Transgelin is expressed abundantly in smooth muscle cells. The human transgelin gene encodes a 201 amino acid protein that contains nuclear factor-binding motifs known to regulate transcription in smooth muscle. During embryogenesis, transgelin is expressed in smooth, cardiac and skeletal muscle, but is restricted during late fetal development and adulthood to all vascular and visceral smooth muscle cells and low levels of expression in heart. Transgelin is down regulated in several transformed cell lines, indicating that a reduction of transgelin expression may be an early indicator of the onset of transformation. Transgelin also binds Actin, causing Actin fibers to gel within minutes of binding. Binding of transgelin to Actin occurs at a ratio of 1:6 Actin monomers.

Application Notes

Optimal dilution of the recombinant Transgelin antibody should be determined by the researcher.

Immunogen

Recombinant full-length human Transgelin (TAGLN) protein was used as the immunogen for the recombinant Transgelin antibody.

Storage

Aliquot the recombinant Transgelin antibody and store frozen at -20oC or colder. Avoid repeated freeze-thaw cycles.

Cross
Bulk Quote Request Form
Name*:
Organization*:
Email*:
Phone Number*:
Catalog No.*:
Comments and Specifics(amount, formulation, etc.)*:
Validation code: Captchapackage Image


Can't read the image? click here to refresh.
    *required field

Your bulk quote request has been submitted successfully!

Please contact us if you have any questions.