• Tel: 858.663.9055
  • SeparatorEmail: info@nsjbio.com
  • Tel: 858.663.9055
  • Email: info@nsjbio.com
Home >> Antibodies >> Recombinant Transcriptional Regulator ERG Antibody

Recombinant Transcriptional Regulator ERG Antibody [clone ERG/9122R] (V5464)

  Catalog No Formulation Size Price (USD)  
Image V5464-100UG 0.2 mg/ml in 1X PBS with 0.1 mg/ml BSA (US sourced), 0.05% sodium azide 100 ug 539
Image
V5464-20UG 0.2 mg/ml in 1X PBS with 0.1 mg/ml BSA (US sourced), 0.05% sodium azide 20 ug 249
Image
V5464SAF-100UG 1 mg/ml in 1X PBS; BSA free, sodium azide free 100 ug 539
Microvalidated Recrabbitmono
Bulk quote request
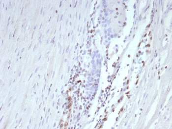
IHC staining of FFPE human prostate tissue with recombinant Transcriptional Regulator ERG antibody (clone ERG/9122R) at 2ug/ml. HIER: boil tissue sections in pH 9 10mM Tris with 1mM EDTA for 20 min and allow to cool before testing.
SDS-PAGE analysis of purified, BSA-free recombinant Transcriptional Regulator ERG antibody (clone ERG/9122R) as confirmation of integrity and purity.
Availability 1-3 business days
Species Reactivity Human
Format Purified
Clonality Recombinant Rabbit Monoclonal
Isotype Rabbit IgG, kappa
Clone Name ERG/9122R
Purity Protein A/G affinity
UniProt P11308
Localization Nucleus
Applications Immunohistochemistry (FFPE) : 1-2ug/ml
Limitations This recombinant Transcriptional Regulator ERG antibody is available for research use only.
Review this product on BioCompare and get a $20 Amazon gift card

Related Products

Description

ERG (ETS-related gene) is a proto-oncogene, a member of the ETS family of transcription factors. The ERG gene encodes for a nuclear protein, also called ERG, which is involved in hematopoietic and endothelial development. ERG remains constitually expressed in endothelial cells in blood and lymphatic vessels, and in bone marrow stem cells. ERG is expressed in virtually all endothelial neoplasms including hemangioendothelioma, angiosarcoma and Kaposi sarcoma. ERG is overexpressed secondary to gene rearrangement in cases of prostate adenocarcinoma, gastrointestinal stromal tumor, synovial sarcoma, meningioma, epithelioid sarcoma, malignant rhabdoid tumor, acute myeloid leukemia and blastic extramedullary myeloid tumor, and rarely Ewing sarcoma / primitive peripheral neuroectodermal tumor, chondrosarcoma, osteosarcoma, and rhabdomyosarcoma. For the identification of endothelial differentiation ERG seems more sensitive and specific than any other marker. Moreover, the interpretation is often easier due to the nuclear reaction, which also allows for double stains with cytoplasmic markers like podoplanin. Among carcinomas, ERG is highly specific for prostate, while the sensitivity is moderate.

Application Notes

Optimal dilution of the recombinant Transcriptional Regulator ERG antibody should be determined by the researcher.

Immunogen

A recombinant fragment (within amino acids 279-479) of human ERG was used as the immunogen for the recombinant Transcriptional Regulator ERG antibody.

Storage

Aliquot the recombinant Transcriptional Regulator ERG antibody and store frozen at -20oC or colder. Avoid repeated freeze-thaw cycles.

Cross
Bulk Quote Request Form
Name*:
Organization*:
Email*:
Phone Number*:
Catalog No.*:
Comments and Specifics(amount, formulation, etc.)*:
Validation code: Captchapackage Image


Can't read the image? click here to refresh.
    *required field

Your bulk quote request has been submitted successfully!

Please contact us if you have any questions.