• Tel: 858.663.9055
  • SeparatorEmail: info@nsjbio.com
  • Tel: 858.663.9055
  • Email: info@nsjbio.com
Home >> Antibodies >> Recombinant TNFSF15 Antibody / TL1A / VEGI

Recombinant TNFSF15 Antibody / TL1A / VEGI [clone VEGI/2052R] (V3636)

  Catalog No Formulation Size Price (USD)  
Image V3636-100UG 0.2 mg/ml in 1X PBS with 0.1 mg/ml BSA (US sourced) and 0.05% sodium azide 100 ug 539
Image
V3636-20UG 0.2 mg/ml in 1X PBS with 0.1 mg/ml BSA (US sourced) and 0.05% sodium azide 20 ug 249
Image
V3636SAF-100UG 1 mg/ml in 1X PBS; BSA free, sodium azide free 100 ug 539
Image
V3636IHC-7ML Prediluted in 1X PBS with 0.1 mg/ml BSA (US sourced) and 0.05% sodium azide; *For IHC use only* 7 ml 539
Microvalidated Recrabbitmono
Bulk quote request
Analysis of HuProt(TM) microarray containing more than 19,000 full-length human proteins using recombinant TNFSF15 antibody (clone VEGI/2052R). These results demonstrate the foremost specificity of the VEGI/2052R mAb.
Z- and S- score: The Z-score represents the strength of a signal that an antibody (in combination with a fluorescently-tagged anti-IgG secondary Ab) produces when binding to a particular protein on the HuProt(TM) array. Z-scores are described in units of standard deviations (SD's) above the mean value of all signals generated on that array. If the targets on the HuProt(TM) are arranged in descending order of the Z-score, the S-score is the difference (also in units of SD's) between the Z-scores. The S-score therefore represents the relative target specificity of an Ab to its intended target.
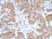
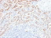
IHC testing of FFPE human parathyroid mass with recombinant TNFSF15 antibody (clone VEGI/2052R). Required HIER: boil sections in 10mM Tris with 1mM EDTA, pH9, for 10-20 min followed by cooling at RT for 20 min.
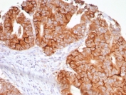
IHC testing of FFPE human colon carcinoma with recombinant TNFSF15 antibody (clone VEGI/2052R). Required HIER: boil sections in 10mM Tris with 1mM EDTA, pH9, for 10-20 min followed by cooling at RT for 20 min.
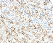
IHC testing of FFPE human spleen with recombinant TNFSF15 antibody (clone VEGI/2052R). Required HIER: boil sections in 10mM Tris with 1mM EDTA, pH9, for 10-20 min followed by cooling at RT for 20 min.
SDS-PAGE analysis of purified, BSA-free recombinant TNFSF15 antibody (clone VEGI/2052R) as confirmation of integrity and purity.
Species Reactivity Human
Format Purified
Clonality Recombinant Rabbit Monoclonal
Isotype Rabbit IgG, kappa
Clone Name VEGI/2052R
Purity Protein A affinity chromatography
UniProt O95150
Gene ID 9966
Localization Cytoplasmic, cell surface, secreted
Applications Immunohistochemistry (FFPE) : 1-2ug/ml for 30 min at RT
Limitations This recombinant TNFSF15 antibody is available for research use only.
Review this product on BioCompare and get a $20 Amazon gift card

Related Products

Description

Recombinant TNFSF15 antibody is a specialized reagent for detecting tumor necrosis factor superfamily member 15, also known as vascular endothelial growth inhibitor or VEGI. TNFSF15 is primarily produced by endothelial cells and functions as a regulator of angiogenesis and immune responses. By inhibiting endothelial cell proliferation and promoting apoptosis, it acts as a natural suppressor of vascular growth. Because of these functions, TNFSF15 is studied in vascular biology, oncology, and inflammation research.

TNFSF15 belongs to the tumor necrosis factor superfamily and signals through receptors such as death receptor 3. Its activity influences both vascular development and immune regulation, where it promotes T cell activation and modulates cytokine production. Dysregulated TNFSF15 signaling has been linked to autoimmune conditions and altered tumor vasculature. Its ability to integrate vascular and immune responses highlights its broad significance.

The Recombinant TNFSF15 antibody clone VEGI/2052R provides accurate and reproducible recognition of this cytokine. Recombinant production ensures batch to batch consistency and minimizes variability. Clone VEGI/2052R has been applied to studies of endothelial biology, angiogenesis inhibition, and immune modulation. Its specificity makes it a dependable tool for both fundamental research and translational studies.

Research using clone VEGI/2052R has clarified how TNFSF15 suppresses tumor angiogenesis and enhances immune activity. Reduced expression has been associated with cancer progression, while altered signaling has been implicated in chronic inflammation and autoimmune disease. This antibody continues to advance understanding of how vascular and immune systems intersect.

NSJ Bioreagents supplies this Recombinant TNFSF15 antibody to support research in vascular biology, cancer, and immunology. The protein is also known as VEGI antibody, vascular endothelial growth inhibitor antibody, tumor necrosis factor ligand superfamily member 15 antibody, and death receptor 3 ligand antibody, reflecting the alternate terms found in research.

Application Notes

Titration of the recombinant TNFSF15 antibody may be required for optimal performance.

1. The prediluted format is supplied in a dropper bottle and is optimized for use in IHC. After epitope retrieval step (if required), drip mAb solution onto the tissue section and incubate at RT for 30 min.

Immunogen

A full length human recombinant protein was used as the immunogen for this recombinant TNFSF15 antibody.

Storage

Store the recombinant TNFSF15 antibody at 2-8oC (with azide) or aliquot and store at -20oC or colder (without azide).

Cross
Bulk Quote Request Form
Name*:
Organization*:
Email*:
Phone Number*:
Catalog No.*:
Comments and Specifics(amount, formulation, etc.)*:
Validation code: Captchapackage Image


Can't read the image? click here to refresh.
    *required field

Your bulk quote request has been submitted successfully!

Please contact us if you have any questions.