• Tel: 858.663.9055
  • SeparatorEmail: info@nsjbio.com
  • Tel: 858.663.9055
  • Email: info@nsjbio.com
Home >> Antibodies >> Recombinant TNFa Antibody / Rabbit Monoclonal

Recombinant TNFa Antibody / Rabbit Monoclonal [clone TNF/1500R] (V3719)

  Catalog No Formulation Size Price (USD)  
Image V3719-100UG 0.2 mg/ml in 1X PBS with 0.1 mg/ml BSA (US sourced) and 0.05% sodium azide 100 ug 539
Image
V3719-20UG 0.2 mg/ml in 1X PBS with 0.1 mg/ml BSA (US sourced) and 0.05% sodium azide 20 ug 249
Image
V3719SAF-100UG 1 mg/ml in 1X PBS; BSA free, sodium azide free 100 ug 539
Image
V3719IHC-7ML Prediluted in 1X PBS with 0.1 mg/ml BSA (US sourced) and 0.05% sodium azide; *For IHC use only* 7 ml 539
Microvalidated Recrabbitmono
Bulk quote request
IHC testing of FFPE human pancreas with recombinant TNFa antibody (clone TNF/1500R). Required HIER: steam sections in pH 9 10mM Tris with 1mM EDTA for 10-20 min.
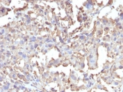
IHC testing of FFPE human histiocytoma with recombinant TNFa antibody (clone TNF/1500R). Required HIER: steam sections in pH 9 10mM Tris with 1mM EDTA for 10-20 min.
SDS-PAGE analysis of purified, BSA-free recombinant TNFa antibody (clone TNF/1500R) as confirmation of integrity and purity.
Availability 1-3 business days
Species Reactivity Human
Format Purified
Clonality Recombinant Rabbit Monoclonal
Isotype Rabbit IgG, kappa
Clone Name TNF/1500R
Purity Protein A affinity chromatography
UniProt P01375
Localization Cytoplasmic and extracellular (secreted)
Applications Immunohistochemistry (FFPE) : 4-8ug/ml for 30 min at RT
Limitations This recombinant TNFa antibody is available for research use only.
Review this product on BioCompare and get a $20 Amazon gift card

Related Products

Description

This mAb recognizes human 17-26kDa protein, which is identified as cytokine TNF-alpha (Tumor Necrosis Factor-alpha). TNF-alpha can be expressed as a 17kDa free molecule, or as a 26kDa membrane protein. TNF-alpha is a protein secreted by lipopolysaccharide-stimulated macrophages, and causes tumor necrosis when injected into tumor bearing mice. TNF alpha causes cytolysis of certain transformed cells, being synergistic with interferon gamma in its cytotoxicity. Although it has little effect on many cultured normal human cells, TNF alpha appears to be directly toxic to vascular endothelial cells. Other actions of TNF alpha include stimulating growth of human fibroblasts and other cell lines, activating polymorphonuclear neutrophils and osteoclasts, and induction of interleukin 1, prostaglandin E2 and collagenase production. TNF alpha is currently being evaluated in treatment of certain cancers and AIDS Related Complex.

Application Notes

Optimal dilution of the recombinant TNFa antibody should be determined by the researcher.

1. The prediluted format is supplied in a dropper bottle and is optimized for use in IHC. After epitope retrieval step (if required), drip mAb solution onto the tissue section and incubate at RT for 30 min.

Immunogen

Recombinant human protein was used as the immunogen for the recombinant TNFa antibody.

Storage

Store the recombinant TNFa antibody at 2-8oC (with azide) or aliquot and store at -20oC or colder (without azide).

Cross
Bulk Quote Request Form
Name*:
Organization*:
Email*:
Phone Number*:
Catalog No.*:
Comments and Specifics(amount, formulation, etc.)*:
Validation code: Captchapackage Image


Can't read the image? click here to refresh.
    *required field

Your bulk quote request has been submitted successfully!

Please contact us if you have any questions.