• Tel: 858.663.9055
  • SeparatorEmail: info@nsjbio.com
  • Tel: 858.663.9055
  • Email: info@nsjbio.com
Home >> Antibodies >> Recombinant TLE1 Antibody / Transducin-like enhancer protein 1

Recombinant TLE1 Antibody / Transducin-like enhancer protein 1 [clone rTLE1/13032] (V5802)

  Catalog No Formulation Size Price (USD)  
Image V5802-100UG 0.2 mg/ml in 1X PBS with 0.1 mg/ml BSA (US sourced), 0.05% sodium azide 100 ug 539
Image
V5802-20UG 0.2 mg/ml in 1X PBS with 0.1 mg/ml BSA (US sourced), 0.05% sodium azide 20 ug 249
Image
V5802SAF-100UG 1 mg/ml in 1X PBS; BSA free, sodium azide free 100 ug 539
Microvalidated Recmousemono
Bulk quote request
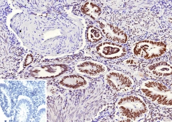
IHC staining of FFPE human endometrium tissue with recombinant TLE1 antibody (clone rTLE1/13032). Inset: PBS used in place of primary Ab (secondary Ab negative control). HIER: boil tissue sections in pH 9 10mM Tris with 1mM EDTA for 20 min and allow to cool before testing.
SDS-PAGE analysis of purified, BSA-free recombinant TLE1 antibody (clone rTLE1/13032) as confirmation of integrity and purity.
Availability 1-3 business days
Species Reactivity Human
Format Purified
Clonality Recombinant Mouse Monoclonal
Isotype Mouse IgG2b, kappa
Clone Name rTLE1/13032
Purity Protein G affinity
UniProt Q04724
Localization Nucleus
Applications Immunohistochemistry (FFPE) : 1-2ug/ml
Limitations This recombinant TLE1 antibody is available for research use only.
Review this product on BioCompare and get a $20 Amazon gift card

Related Products

Description

Key players in the Notch pathway are the TLE genes, which are human homologs of the Drosophila groucho gene. Groucho is a transcriptional repressor that plays a key role in neurogenesis, segmentation and sex determination. Transducin-like enhancer protein1 (TLE1) is a protein that is encoded by the TLE1 gene and is involved in control of hematopoiesis, neuronal, and terminal epithelial differentiation. Positive immunohistochemical nuclear staining with anti-TLE-1 has been shown to be a useful addition to an IHC panel when differentiating synovial sarcoma from other soft tissue malignancies.

Application Notes

Optimal dilution of the recombinant TLE1 antibody should be determined by the researcher.

Immunogen

A recombinant full-length human TLE1 protein was used as the immunogen for the recombinant TLE1 antibody.

Storage

Aliquot the recombinant TLE1 antibody and store frozen at -20oC or colder. Avoid repeated freeze-thaw cycles.

Cross
Bulk Quote Request Form
Name*:
Organization*:
Email*:
Phone Number*:
Catalog No.*:
Comments and Specifics(amount, formulation, etc.)*:
Validation code: Captchapackage Image


Can't read the image? click here to refresh.
    *required field

Your bulk quote request has been submitted successfully!

Please contact us if you have any questions.