• Tel: 858.663.9055
  • SeparatorEmail: info@nsjbio.com
  • Tel: 858.663.9055
  • Email: info@nsjbio.com
Home >> Antibodies >> Recombinant TL1A Antibody / TNFSF15 / VEGI

Recombinant TL1A Antibody / TNFSF15 / VEGI [clone rVEGI/1283] (V3637)

  Catalog No Formulation Size Price (USD)  
Image V3637-100UG 0.2 mg/ml in 1X PBS with 0.1 mg/ml BSA (US sourced) and 0.05% sodium azide 100 ug 539
Image
V3637-20UG 0.2 mg/ml in 1X PBS with 0.1 mg/ml BSA (US sourced) and 0.05% sodium azide 20 ug 249
Image
V3637SAF-100UG 1 mg/ml in 1X PBS; BSA free, sodium azide free 100 ug 539
Image
V3637IHC-7ML Prediluted in 1X PBS with 0.1 mg/ml BSA (US sourced) and 0.05% sodium azide; *For IHC use only* 7 ml 539
Microvalidated Recmousemono
Bulk quote request
Analysis of HuProt(TM) microarray containing more than 19,000 full-length human proteins using recombinant TL1A antibody (clone rVEGI/1283). These results demonstrate the foremost specificity of the rVEGI/1283 mAb.
Z- and S- score: The Z-score represents the strength of a signal that an antibody (in combination with a fluorescently-tagged anti-IgG secondary Ab) produces when binding to a particular protein on the HuProt(TM) array. Z-scores are described in units of standard deviations (SD's) above the mean value of all signals generated on that array. If the targets on the HuProt(TM) are arranged in descending order of the Z-score, the S-score is the difference (also in units of SD's) between the Z-scores. The S-score therefore represents the relative target specificity of an Ab to its intended target.
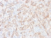
IHC testing of FFPE human spleen with recombinant TL1A antibody (clone rVEGI/1283). Required HIER: boil sections in 10mM Tris with 1mM EDTA, pH9, for 10-20 min followed by cooling at RT for 20 min.
SDS-PAGE analysis of purified, BSA-free recombinant TL1A antibody (clone rVEGI/1283) as confirmation of integrity and purity.
Species Reactivity Human
Format Purified
Clonality Recombinant Mouse Monoclonal
Isotype Mouse IgG1, kappa
Clone Name rVEGI/1283
Purity Protein G affinity chromatography
UniProt O95150
Gene ID 9966
Localization Cytoplasmic, cell surface, secreted
Applications Immunohistochemistry (FFPE) : 1-2ug/ml for 30 min at RT
Limitations This recombinant TL1A antibody is available for research use only.
Review this product on BioCompare and get a $20 Amazon gift card

Related Products

Description

Recombinant TL1A antibody is designed to detect tumor necrosis factor ligand superfamily member 15, also called TL1A or vascular endothelial growth inhibitor. TL1A is primarily secreted by endothelial cells and activated immune cells, where it functions as both a costimulatory molecule and a regulator of vascular growth. Its ability to influence T cell activation and angiogenesis makes it a central subject in studies of inflammation, immunity, and cancer.

TL1A binds to death receptor 3, transmitting signals that enhance T cell proliferation and cytokine secretion. It also modulates endothelial biology, suppressing abnormal vascular expansion while supporting immune mediated vascular regulation. Dysregulation of TL1A expression has been associated with autoimmune disorders such as inflammatory bowel disease, rheumatoid arthritis, and psoriasis, linking it to chronic inflammation.

The Recombinant TL1A antibody clone rVEGI/1283 provides reliable and reproducible recognition of this cytokine. Recombinant manufacturing ensures batch consistency, reducing variability in experimental results. Clone rVEGI/1283 has been applied to studies of immune signaling, angiogenesis inhibition, and autoimmune disease models. Its specificity enables accurate exploration of TL1A mediated processes in health and disease.

Research using clone rVEGI/1283 has clarified how TL1A contributes to T cell regulation, angiogenesis, and vascular pathology. Elevated TL1A levels correlate with severity in chronic inflammatory conditions, while altered signaling affects tumor vascularization. This antibody continues to support investigations into how TL1A can be targeted therapeutically for immune modulation and cancer treatment.

NSJ Bioreagents offers this Recombinant TL1A antibody to support studies of immune biology and vascular regulation. The protein is also referenced as TNFSF15 antibody, VEGI antibody, death receptor 3 ligand antibody, and endothelial derived cytokine antibody, reflecting its multiple names in scientific literature.

Application Notes

Titration of the recombinant TL1A antibody may be required for optimal performance.

1. The prediluted format is supplied in a dropper bottle and is optimized for use in IHC. After epitope retrieval step (if required), drip mAb solution onto the tissue section and incubate at RT for 30 min.

Immunogen

A full length human recombinant protein was used as the immunogen for this recombinant TL1A antibody.

Storage

Store the recombinant TL1A antibody at 2-8oC (with azide) or aliquot and store at -20oC or colder (without azide).

Cross
Bulk Quote Request Form
Name*:
Organization*:
Email*:
Phone Number*:
Catalog No.*:
Comments and Specifics(amount, formulation, etc.)*:
Validation code: Captchapackage Image


Can't read the image? click here to refresh.
    *required field

Your bulk quote request has been submitted successfully!

Please contact us if you have any questions.