• Tel: 858.663.9055
  • SeparatorEmail: info@nsjbio.com
  • Tel: 858.663.9055
  • Email: info@nsjbio.com
Home >> Antibodies >> Recombinant TIMP2 Antibody

Recombinant TIMP2 Antibody [clone TIMP2/2488R] (V7356)

  Catalog No Formulation Size Price (USD)  
Image V7356-100UG 0.2 mg/ml in 1X PBS with 0.1 mg/ml BSA (US sourced) and 0.05% sodium azide 100 ug 539
Image
V7356-20UG 0.2 mg/ml in 1X PBS with 0.1 mg/ml BSA (US sourced) and 0.05% sodium azide 20 ug 249
Image
V7356SAF-100UG 1 mg/ml in 1X PBS; BSA free, sodium azide free 100 ug 539
Image
V7356IHC-7ML Prediluted in 1X PBS with 0.1 mg/ml BSA (US sourced) and 0.05% sodium azide; *For IHC use only* 7 ml 539
Microvalidated Recrabbitmono
Bulk quote request
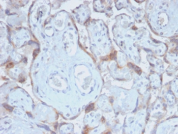
IHC staining of FFPE human placenta with recombinant TIMP2 antibody (clone TIMP2/2488R). Required HIER: requires boil tissue sections in pH 9 10mM Tris with 1mM EDTA for 10-20 min and allow to cool before testing.
Availability 1-3 business days
Species Reactivity Human
Format Purified
Clonality Recombinant Rabbit Monoclonal
Isotype Rabbit IgG, kappa
Clone Name TIMP2/2488R
Purity Protein A affinity chromatography
UniProt P16035
Localization Cytoplasmic, cell surface, secreted
Applications Immunohistochemistry (FFPE) : 1-2ug/ml for 30 min at RT
Limitations This recombinant TIMP2 antibody is available for research use only.
Review this product on BioCompare and get a $20 Amazon gift card

Related Products

Description

It recognizes a protein of 21kDa, identified as tissue inhibitor of metalloproteinases 2 (TIMP2). It is closely related to TIMP1 and shows the highest binding affinity to both the latent (pro) and active forms of 72kDa Type IV collagenase (also known as MMP2 or gelatinase A). It also has affinity for the active form of 92kDa Type IV collagenase (also known as MMP9 or gelatinase B). TIMP2 inhibits the proteolytic invasiveness of tumor cells and normal placental trophoblast cells.

Application Notes

The concentration stated for each application is a general starting point. Variations in protocols, secondaries and substrates may require the recombinant TIMP2 antibody to be titered up or down for optimal performance.

1. The prediluted format is supplied in a dropper bottle and is optimized for use in IHC. After epitope retrieval step (if required), drip mAb solution onto the tissue section and incubate at RT for 30 min.

Immunogen

Amino acids 56-66 (DSGNDIYGNPI) from the human protein were used as the immunogen for this recombinant TIMP2 antibody.

Storage

Store the recombinant TIMP2 antibody at 2-8oC (with azide) or aliquot and store at -20oC or colder (without azide).

Cross
Bulk Quote Request Form
Name*:
Organization*:
Email*:
Phone Number*:
Catalog No.*:
Comments and Specifics(amount, formulation, etc.)*:
Validation code: Captchapackage Image


Can't read the image? click here to refresh.
    *required field

Your bulk quote request has been submitted successfully!

Please contact us if you have any questions.