• Tel: 858.663.9055
  • SeparatorEmail: info@nsjbio.com
  • Tel: 858.663.9055
  • Email: info@nsjbio.com
Home >> Antibodies >> Recombinant TIMP2 Antibody

Recombinant TIMP2 Antibody [clone MPIB2-1R] (V7444)

  Catalog No Formulation Size Price (USD)  
Image V7444-100UG 0.2 mg/ml in 1X PBS with 0.1 mg/ml BSA (US sourced) and 0.05% sodium azide 100 ug 539
Image
V7444-20UG 0.2 mg/ml in 1X PBS with 0.1 mg/ml BSA (US sourced) and 0.05% sodium azide 20 ug 249
Image
V7444SAF-100UG 1 mg/ml in 1X PBS; BSA free, sodium azide free 100 ug 539
Image
V7444IHC-7ML Prediluted in 1X PBS with 0.1 mg/ml BSA (US sourced) and 0.05% sodium azide; *For IHC use only* 7 ml 539
Microvalidated Recrabbitmono
Bulk quote request
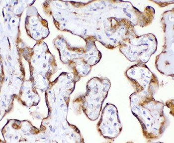
IHC staining of FFPE human placenta with recombinant TIMP2 antibody (clone MPIB2-1R). Required HIER: requires boil tissue sections in pH 9 10mM Tris with 1mM EDTA for 10-20 min and allow to cool before testing.
Availability 1-3 business days
Species Reactivity Human
Format Purified
Clonality Recombinant Rabbit Monoclonal
Isotype Rabbit IgG, kappa
Clone Name MPIB2-1R
Purity Protein A affinity chromatography
UniProt P16035
Localization Cytoplasmic, cell surface, secreted
Applications Immunohistochemistry (FFPE) : 1-2ug/ml for 30 min at RT
Prediluted IHC Only Format : incubate for 30 min at RT (1)
Limitations This recombinant TIMP2 antibody is available for research use only.
Review this product on BioCompare and get a $20 Amazon gift card

Related Products

Description

TIMP2 is a member of the TIMP gene family. The proteins encoded by this gene family are natural inhibitors of the matrix metalloproteinases, a group of peptidases involved in degradation of the extracellular matrix. In addition to an inhibitory role against metalloproteinases, Metalloproteinase inhibitor 2 / TIMP2 has a unique role among TIMP family members in its ability to directly suppress the proliferation of endothelial cells. As a result, it may be critical to the maintenance of tissue homeostasis by suppressing the proliferation of quiescent tissues in response to angiogenic factors, and by inhibiting protease activity in tissues undergoing remodelling of the extracellular matrix. [RefSeq]

Application Notes

Optimal dilution of the recombinant TIMP2 antibody should be determined by the researcher.

1. The prediluted format is supplied in a dropper bottle and is optimized for use in IHC. After epitope retrieval step (if required), drip mAb solution onto the tissue section and incubate at RT for 30 min.

Immunogen

Amino acids 56-66 (DSGNDIYGNPI) from the human protein were used as the immunogen for this recombinant TIMP2 antibody.

Storage

Store the recombinant TIMP2 antibody at 2-8oC (with azide) or aliquot and store at -20oC or colder (without azide).

Cross
Bulk Quote Request Form
Name*:
Organization*:
Email*:
Phone Number*:
Catalog No.*:
Comments and Specifics(amount, formulation, etc.)*:
Validation code: Captchapackage Image


Can't read the image? click here to refresh.
    *required field

Your bulk quote request has been submitted successfully!

Please contact us if you have any questions.