• Tel: 858.663.9055
  • SeparatorEmail: info@nsjbio.com
  • Tel: 858.663.9055
  • Email: info@nsjbio.com
Home >> Antibodies >> Recombinant Thrombomodulin Antibody / CD141

Recombinant Thrombomodulin Antibody / CD141 [clone rTHBD/1591] (V3557)

  Catalog No Formulation Size Price (USD)  
Image V3557-100UG 0.2 mg/ml in 1X PBS with 0.1 mg/ml BSA (US sourced) and 0.05% sodium azide 100 ug 539
Image
V3557-20UG 0.2 mg/ml in 1X PBS with 0.1 mg/ml BSA (US sourced) and 0.05% sodium azide 20 ug 249
Image
V3557SAF-100UG 1 mg/ml in 1X PBS; BSA free, sodium azide free 100 ug 539
Image
V3557IHC-7ML Prediluted in 1X PBS with 0.1 mg/ml BSA (US sourced) and 0.05% sodium azide; *For IHC use only* 7 ml 539
Microvalidated Recmousemono
Bulk quote request
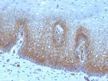
IHC testing of FFPE human cervical carcinoma with recombinant Thrombomodulin antibody (clone rTHBD/1591). HIER: boil tissue sections in 10mM Tris buffer with 1mM EDTA, pH 9, for 10-20 min followed by cooling at RT for 20 min.
IHC testing of FFPE human placenta with recombinant Thrombomodulin antibody (clone rTHBD/1591). HIER: boil tissue sections in 10mM Tris buffer with 1mM EDTA, pH 9, for 10-20 min followed by cooling at RT for 20 min.
SDS-PAGE analysis of purified, BSA-free recombinant Thrombomodulin antibody (clone rTHBD/1591) as confirmation of integrity and purity.
Analysis of HuProt(TM) microarray containing more than 19,000 full-length human proteins using Thrombomodulin antibody (clone rTHBD/1591). These results demonstrate the foremost specificity of the rTHBD/1591 mAb.
Z- and S- score: The Z-score represents the strength of a signal that an antibody (in combination with a fluorescently-tagged anti-IgG secondary Ab) produces when binding to a particular protein on the HuProt(TM) array. Z-scores are described in units of standard deviations (SD's) above the mean value of all signals generated on that array. If the targets on the HuProt(TM) are arranged in descending order of the Z-score, the S-score is the difference (also in units of SD's) between the Z-scores. The S-score therefore represents the relative target specificity of an Ab to its intended target.
Species Reactivity Human
Format Purified
Clonality Recombinant Mouse Monoclonal
Isotype Mouse IgG1, kappa
Clone Name rTHBD/1591
Purity Protein G affinity chromatography
UniProt P07204
Localization Cell surface, cytoplasmic
Applications ELISA : 2-4ug/ml (order BSA/azide-free format)
Immunohistochemistry (FFPE) : 1-2ug/ml for 30 min at RT
Limitations This recombinant Thrombomodulin antibody is available for research use only.
Review this product on BioCompare and get a $20 Amazon gift card

Related Products

Description

Recombinant Thrombomodulin antibody is a valuable reagent for studying thrombomodulin, an endothelial glycoprotein that regulates coagulation and vascular integrity. Thrombomodulin is expressed on the surface of endothelial cells, where it binds thrombin to form a complex that activates protein C. Activated protein C then degrades clotting factors Va and VIIIa, providing an anticoagulant pathway that balances hemostasis. Because of this function, thrombomodulin is central to vascular biology and thrombotic disease research.

In addition to its anticoagulant role, thrombomodulin influences inflammation and tissue repair. Its lectin like domain modulates leukocyte adhesion and cytokine activity, while soluble thrombomodulin fragments circulate in plasma and reflect endothelial health. Altered expression of thrombomodulin is associated with vascular injury, sepsis, and cancer, underscoring its broad physiological significance.

The Recombinant Thrombomodulin antibody clone rTHBD/1591 ensures precise detection of this endothelial receptor. Recombinant production guarantees consistency across lots, reducing variability in experimental outcomes. Clone rTHBD/1591 has been applied in vascular biology to study endothelial function, in hematology to explore coagulation balance, and in oncology to investigate tumor associated changes in thrombomodulin expression. Its specificity supports reproducible research across diverse systems.

Research using this antibody has clarified how thrombomodulin integrates anticoagulation with vascular protection. Deficiencies or mutations in the THBD gene are associated with thrombotic disorders, while increased soluble thrombomodulin levels serve as biomarkers of endothelial injury. Studies with clone rTHBD/1591 continue to provide insights into the interplay between coagulation, inflammation, and vascular pathology.

NSJ Bioreagents offers this Recombinant Thrombomodulin antibody to support investigations into hemostasis, vascular biology, and disease. The protein is also known as THBD antibody, endothelial cell thrombomodulin receptor antibody, CD141 antibody, and anticoagulant glycoprotein antibody, reflecting the variety of terminology used by scientists.

Application Notes

The concentration stated for each application is a general starting point. Variations in protocols, secondaries and substrates may require the recombinant Thrombomodulin antibody to be titered up or down for optimal performance.

1. The prediluted format is supplied in a dropper bottle and is optimized for use in IHC. After epitope retrieval step (if required), drip mAb solution onto the tissue section and incubate at RT for 30 min.

Immunogen

Human recombinant partial protein corresponding to amino acids 69-194 was used as the immunogen for this recombinant Thrombomodulin antibody.

Storage

Store the recombinant Thrombomodulin antibody at 2-8oC (with azide) or aliquot and store at -20oC or colder (without azide).

Cross
Bulk Quote Request Form
Name*:
Organization*:
Email*:
Phone Number*:
Catalog No.*:
Comments and Specifics(amount, formulation, etc.)*:
Validation code: Captchapackage Image


Can't read the image? click here to refresh.
    *required field

Your bulk quote request has been submitted successfully!

Please contact us if you have any questions.