• Tel: 858.663.9055
  • SeparatorEmail: info@nsjbio.com
  • Tel: 858.663.9055
  • Email: info@nsjbio.com
Home >> Antibodies >> Recombinant Steroidogenic Factor 1 Antibody

Recombinant Steroidogenic Factor 1 Antibody [clone rNR5A1/4369] (V4016)

  Catalog No Formulation Size Price (USD)  
Image V4016-100UG 0.2 mg/ml in 1X PBS with 0.1 mg/ml BSA (US sourced), 0.05% sodium azide 100 ug 539
Image
V4016-20UG 0.2 mg/ml in 1X PBS with 0.1 mg/ml BSA (US sourced), 0.05% sodium azide 20 ug 249
Image
V4016SAF-100UG 1 mg/ml in 1X PBS; BSA free, sodium azide free 100 ug 539
Microvalidated Recmousemono
Bulk quote request
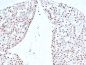
IHC staining of FFPE human renal oncocytoma with recombinant Steroidogenic Factor 1 antibody (clone rNR5A1/4369). HIER: boil tissue sections in pH 9 10mM Tris with 1mM EDTA for 20 min and allow to cool before testing.
SDS-PAGE analysis of purified, BSA-free recombinant Steroidogenic Factor 1 antibody (clone rNR5A1/4369) as confirmation of integrity and purity.
Availability 1-3 business days
Species Reactivity Human
Format Purified
Clonality Recombinant Mouse Monoclonal
Isotype Mouse IgG1, kappa
Clone Name rNR5A1/4369
Purity Protein A/G affinity
UniProt Q13285
Localization Nucleus
Applications Immunohistochemistry (FFPE) : 1-2ug/ml
Limitations This recombinant Steroidogenic Factor 1 antibody is available for research use only.
Review this product on BioCompare and get a $20 Amazon gift card

Related Products

Description

Steroidogenic Factor 1 (SF-1) is considered an orphan nuclear receptor that belongs to subfamily 5. It was found to be a regulator of steroidogenic enzyme gene expression. Oxysterols are suggested as its ligands. It is expressed in all steroidogenic tissues, including the adrenal cortex, testicular Sertoli cells, and Leydig cells, ovarian theca, hypothalamus, and anterior pituitary. SF-1 plays an important role in adrenal and gonadal development. SF-1 is highly valuable marker to determine the adrenocortical origin of an adrenal mass.

Application Notes

Optimal dilution of the recombinant Steroidogenic Factor 1 antibody should be determined by the researcher.

Immunogen

A portion of amino acids 220-461 from the human protein was used as the immunogen for the recombinant Steroidogenic Factor 1 antibody.

Storage

Aliquot the recombinant Steroidogenic Factor 1 antibody and store frozen at -20oC or colder. Avoid repeated freeze-thaw cycles.

Cross
Bulk Quote Request Form
Name*:
Organization*:
Email*:
Phone Number*:
Catalog No.*:
Comments and Specifics(amount, formulation, etc.)*:
Validation code: Captchapackage Image


Can't read the image? click here to refresh.
    *required field

Your bulk quote request has been submitted successfully!

Please contact us if you have any questions.