• Tel: 858.663.9055
  • SeparatorEmail: info@nsjbio.com
  • Tel: 858.663.9055
  • Email: info@nsjbio.com
Home >> Antibodies >> Recombinant STAT6 Antibody

Recombinant STAT6 Antibody [clone STAT6/7163R] (V4052)

  Catalog No Formulation Size Price (USD)  
Image V4052-100UG 0.2 mg/ml in 1X PBS with 0.1 mg/ml BSA (US sourced), 0.05% sodium azide 100 ug 539
Image
V4052-20UG 0.2 mg/ml in 1X PBS with 0.1 mg/ml BSA (US sourced), 0.05% sodium azide 20 ug 249
Image
V4052SAF-100UG 1 mg/ml in 1X PBS; BSA free, sodium azide free 100 ug 539
Microvalidated Recrabbitmono
Bulk quote request
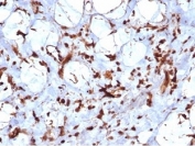
IHC staining of FFPE human renal cell carcinoma tissue with recombinant STAT6 antibody (clone STAT6/7163R). HIER: boil tissue sections in pH 9 10mM Tris with 1mM EDTA for 20 min and allow to cool before testing.
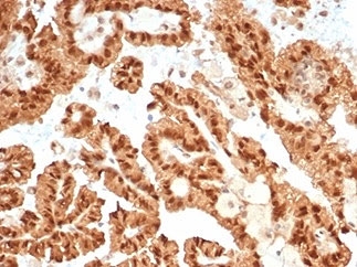
IHC staining of FFPE human liposarcoma tissue with recombinant STAT6 antibody (clone STAT6/7163R). HIER: boil tissue sections in pH 9 10mM Tris with 1mM EDTA for 20 min and allow to cool before testing.
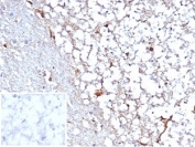
IHC staining of FFPE human cerebellum tissue with recombinant STAT6 antibody (clone STAT6/7163R). Negative control inset: PBS used instead of primary antibody to control for secondary Ab binding. HIER: boil tissue sections in pH 9 10mM Tris with 1mM EDTA for 20 min and allow to cool before testing.
Availability 1-3 business days
Species Reactivity Human
Format Purified
Clonality Recombinant Rabbit Monoclonal
Isotype Rabbit IgG, kappa
Clone Name STAT6/7163R
Purity Protein A/G affinity
UniProt P42226
Localization Cytoplasm, nucleus
Applications Immunohistochemistry (FFPE) : 1-2ug/ml
Limitations This recombinant STAT6 antibody is available for research use only.
Review this product on BioCompare and get a $20 Amazon gift card

Related Products

  • Applications : IHC-P
    Reactivity : Human
    Recrabbitmono
  • Applications : IHC-P, FACS
    Reactivity : Human
    Microvalidated
  • Applications : WB, IHC-P
    Reactivity : Human, Mouse, Rat
  • Applications : WB
    Reactivity : Human, Rat
  • Applications : WB, IHC-P, IF, FACS, Direct ELISA
    Reactivity : Human
  • Applications : WB, FACS, IHC-P, IF, Direct ELISA
    Reactivity : Human

Description

STAT6 is a transcription factor in the Jak/STAT signal transduction pathway responsible for mediating IL-4 immune signaling. STAT6 was recently suggested to be a reliable marker to distinguish solitary fibrous tumors from other soft tissue neoplasms. Gene fusions are common in solitary fibrous tumors. Recent next generation sequencing studies demonstrated the presence of a NAB2-STAT6 fusion, formed by an intrachromosomal inversion fusing two neighboring genes on chromosome 12q13, in 55-100% of solitary fibrous tumors, regardless of tumor morphology or anatomical site. By immunohistochemistry, nuclear STAT6 expression can discriminate solitary fibrous tumors from its morphological mimics in the meninges, including meningioma, glioblastoma, gliosarcoma, haemangioblastoma, schwannoma and haemangioma. A recent study by Cheah, et al. using the rabbit monoclonal STAT6 antibody (Clone YE361) observed expression in all solitary fibrous tumors (54/54) tested, regardless of histology, anatomical site or CD34 status. Morphological mimics of solitary fibrous tumors were negative, demonstrating 100% specificity.

Application Notes

Optimal dilution of the recombinant STAT6 antibody should be determined by the researcher.

Immunogen

Recombinant full-length human protein was used as the immunogen for the recombinant STAT6 antibody.

Storage

Aliquot the recombinant STAT6 antibody and store frozen at -20oC or colder. Avoid repeated freeze-thaw cycles.

Cross
Bulk Quote Request Form
Name*:
Organization*:
Email*:
Phone Number*:
Catalog No.*:
Comments and Specifics(amount, formulation, etc.)*:
Validation code: Captchapackage Image


Can't read the image? click here to refresh.
    *required field

Your bulk quote request has been submitted successfully!

Please contact us if you have any questions.