• Tel: 858.663.9055
  • SeparatorEmail: info@nsjbio.com
  • Tel: 858.663.9055
  • Email: info@nsjbio.com
Home >> Antibodies >> Recombinant SOX10 Antibody

Recombinant SOX10 Antibody [clone rSOX10/1074] (V3563)

  Catalog No Formulation Size Price (USD)  
Image V3563-100UG 0.2 mg/ml in 1X PBS with 0.1 mg/ml BSA (US sourced) and 0.05% sodium azide 100 ug 539
Image
V3563-20UG 0.2 mg/ml in 1X PBS with 0.1 mg/ml BSA (US sourced) and 0.05% sodium azide 20 ug 249
Image
V3563SAF-100UG 1 mg/ml in 1X PBS; BSA free, sodium azide free 100 ug 539
Image
V3563IHC-7ML Prediluted in 1X PBS with 0.1 mg/ml BSA (US sourced) and 0.05% sodium azide; *For IHC use only* 7 ml 539
Microvalidated Recmousemono
Bulk quote request
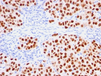
IHC testing of FFPE human melanoma with recombinant SOX10 antibody (clone rSOX10/1074). Required HIER: boil tissue sections in 10mM citrate buffer, pH 6, for 10-20 min followed by cooling at RT for 20 min.
SDS-PAGE analysis of purified, BSA-free recombinant SOX10 antibody (clone rSOX10/1074) as confirmation of integrity and purity.
Western blot testing of human COLO-38 cell lysate with recombinant SOX10 antibody (clone rSOX10/1074). Expected molecular weight: 50-58 kDa.
Analysis of HuProt(TM) microarray containing more than 19,000 full-length human proteins using recombinant SOX10 antibody. These results demonstrate the foremost specificity of the rSOX10/1074 mAb. Z- and S- score: The Z-score represents the strength of a signal that an antibody (in combination with a fluorescently-tagged anti-IgG secondary Ab) produces when binding to a particular protein on the HuProt(TM) array. Z-scores are described in units of standard deviations (SD's) above the mean value of all signals generated on that array. If the targets on the HuProt(TM) are arranged in descending order of the Z-score, the S-score is the difference (also in units of SD's) between the Z-scores. The S-score therefore represents the relative target specificity of an Ab to its intended target.
Availability 1-3 business days
Species Reactivity Human, Mouse
Format Purified
Clonality Recombinant Mouse Monoclonal
Isotype Mouse IgG1, kappa
Clone Name rSOX10/1074
Purity Protein G affinity chromatography
UniProt P56693
Localization Nuclear
Applications Immunohistochemistry (FFPE) : 0.5-1ug/ml for 30 min at RT
Western Blot : 1-2ug/ml
Limitations This recombinant SOX10 antibody is available for research use only.
Review this product on BioCompare and get a $20 Amazon gift card

Related Products

  • Applications : IHC-P, WB
    Reactivity : Human
    Recrabbitmono
    Microvalidated
  • Applications : IHC-P
    Reactivity : Human
    Recrabbitmono
  • Applications : WB, IHC-P
    Reactivity : Human, Mouse
    Microvalidated
  • Applications : WB, IHC-P
    Reactivity : Human
    Microvalidated
  • Applications : WB, IHC-P
    Reactivity : Human, Mouse
    Microvalidated
  • Applications : ELISA, WB
    Reactivity : Human
    Microvalidated
  • Applications : FACS, IF
    Reactivity : Human
    Microvalidated
  • Applications : IHC-P, WB
    Reactivity : Human
  • Applications : WB, IHC, ELISA
    Reactivity : Human, Mouse, Rat
    Pred. Reactivity : Rat, Pig
  • Applications : WB, ELISA (peptide)
    Reactivity : Human
    Pred. Reactivity : Cow, Dog, Mouse, Pig, Rat
  • Applications : WB, IHC-P
    Reactivity : Human, Mouse, Rat
  • Applications : WB, IF, FACS, Direct ELISA
    Reactivity : Human, Mouse, Rat

Description

Recombinant SOX10 antibody is a reliable reagent for studying the transcription factor SOX10, a member of the SRY related HMG box family. SOX10 is critical for neural crest development, guiding the specification of melanocytes, Schwann cells, and oligodendrocytes. It regulates transcriptional programs that determine lineage fate, survival, and differentiation. Because of these functions, SOX10 has become central to research in developmental biology, neuroscience, and oncology.

SOX10 exerts its influence by binding DNA at specific motifs through its HMG domain. It partners with other transcription factors to regulate genes involved in pigment production, glial function, and myelination. Mutations in SOX10 are associated with syndromes such as Waardenburg and Hirschsprung, conditions that highlight its importance in embryonic patterning and tissue maintenance. Its regulatory reach spans both developmental and disease related processes.

The Recombinant SOX10 antibody clone rSOX10/1074 provides accurate and reproducible detection of this transcription factor. Recombinant production enhances batch consistency, eliminating variability that can compromise experimental results. Clone rSOX10/1074 has been employed in studies mapping neural crest lineages, assessing glial differentiation, and classifying tumors derived from melanocytes and Schwann cells. Its nuclear localization pattern supports precise detection in tissues and cell preparations.

In pathology, SOX10 is a sensitive marker for melanoma and peripheral nerve sheath tumors. Research with clone rSOX10/1074 has clarified how SOX10 expression distinguishes these neoplasms from other tumor types, making it indispensable for diagnostic applications. In neuroscience, it continues to aid studies on oligodendrocyte biology and the mechanisms of myelin repair, advancing knowledge in conditions such as multiple sclerosis.

NSJ Bioreagents supplies this Recombinant SOX10 antibody to support investigations into developmental biology, neurobiology, and oncology. The protein is also described as transcription factor SOX10 antibody, SRY related HMG box 10 antibody, Waardenburg syndrome gene antibody, and neural crest transcription regulator antibody, reflecting the varied nomenclature used in the scientific community.

Application Notes

Optimal dilution of the recombinant SOX10 antibody should be determined by the researcher.

1. The prediluted format is supplied in a dropper bottle and is optimized for use in IHC. After epitope retrieval step (if required), drip mAb solution onto the tissue section and incubate at RT for 30 min.

Immunogen

Amino acids 115-269 from the human protein were used as the immunogen for the recombinant SOX10 antibody.

Storage

Store the recombinant SOX10 antibody at 2-8oC (with azide) or aliquot and store at -20oC or colder (without azide).

Cross
Bulk Quote Request Form
Name*:
Organization*:
Email*:
Phone Number*:
Catalog No.*:
Comments and Specifics(amount, formulation, etc.)*:
Validation code: Captchapackage Image


Can't read the image? click here to refresh.
    *required field

Your bulk quote request has been submitted successfully!

Please contact us if you have any questions.